
No enfisema pulmonar há hiperlucência dos campos pulmonares e rebaixamento (retificação) das cúpulas diafragmáticas. Observe as áreas com pobreza vascular, especialmente nos 2/3 inferiores. O coração tende a ser mais verticalizado (coração em gota).
*****
In pulmonary emphysema there is hyperlucency of the pulmonary fields and rectification of the diaphragm. Note areas with vascular poverty, especially in the lower fields. The heart tends to be more upright.
Chaves: tabagismo; DPOC; COPD; hyperlucency; low set flat diaphragm; vertical heart; avascular zones; smoking.

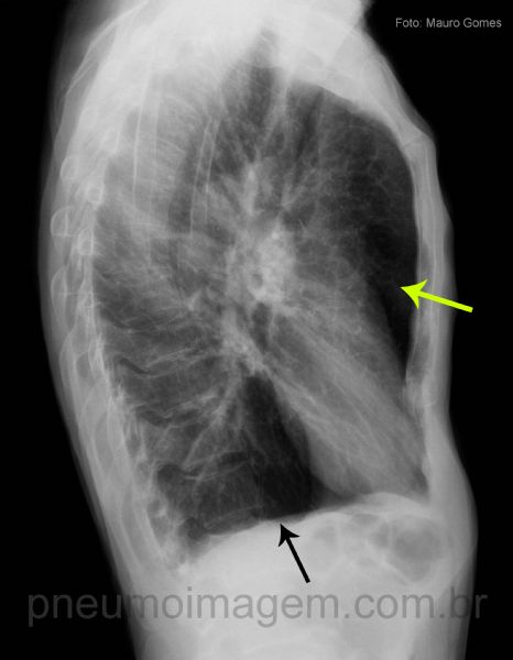
Na incidência em perfil oberva-se o aumento do diâmetro anteroposterior, melhor caracterizado pela presença de ar retroesternal (seta amarela) e infracardíaco. Observe o formato do tórax em tonel. A retificação das cúpulas frênicas pode ser melhor caracterizada nesta incidência (seta preta).
*****
In the profile incidence, the increase of the anteroposterior diameter was observed, better characterized by the presence of retrosternal (yellow arrow) and infracardiac air. Note the chest format in barrel. Rectification of phrenic domes may be better characterized in this incidence (black arrow).
Chaves: AP diameter increased; flat diaphragms (black); retrosternal (yellow) and infracardiac air; barrel chest.
DEIXE SEU COMENTÁRIO