Esclerose sistêmica progressiva (esclerodermia). Redução do volume de ambos os pulmões devido às opacidades intersticiais com faveolamento pulmonar.
Observe a dilatação do esôfago (seta vermelha). Chaves: scleroderma; esophageal dilation.

Padrão de Pneumonia Intersticial Não Específica (PINE).
Predomínio de opacidades em vidro fosco periféricas, áreas em favo de mel menos intensas que na UIP. Observa-se espessamento intralobular subpleural (seta vermelha).
Chaves: non specific interstitial pneumonia; NSIP; bronchiectasis.
Opacidades em vidro fosco de predomínio periférico, nas regiões inferiores, com espessamento interlobular (setas verdes).
Faveolamento periférico-imagens em favo de mel (seta azul).
Bronquiectasias de tração (seta vermelha).
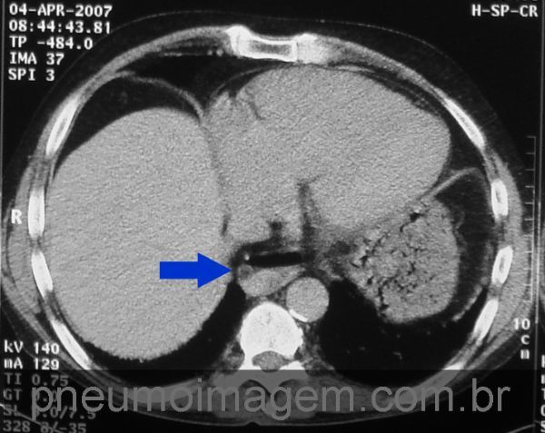
Dilatação do esôfago com nível hidraéreo (seta azul).
Chave: nível líquido.
DEIXE SEU COMENTÁRIO