
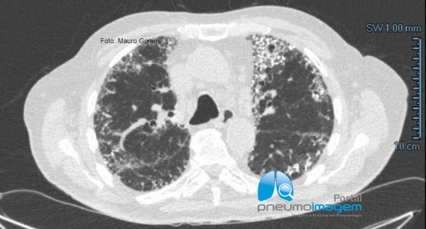
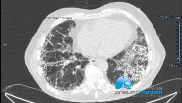
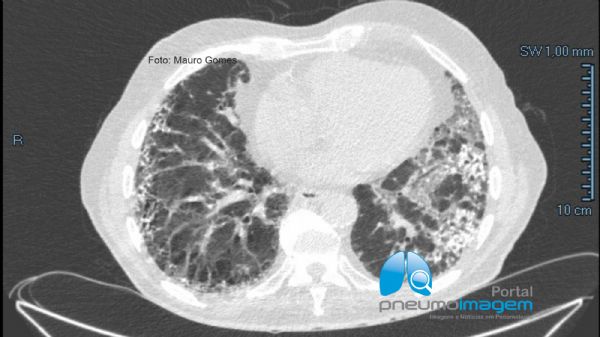
Nesses cortes podem-se observar alterações intersticiais com fibrose caracterizadas por reticulado e bronquiectasias de tração com predomínio periférico e basal. As lesões se estendem desde as regiões apicais (menor intensidade) até as bases (maior intensidade). O padrão é de provável pneumonia intersticial usual (PIU). Observe que se associam às lesões múltiplos focos dendriformes de calcificação, compatível com ossificação pulmonar.
***
In these sections, interstitial changes with fibrosis characterized by reticulate and traction bronchiectasis with peripheral and basal predominance can be observed. The lesions extend from the apical regions (lower intensity) to the lower lobes (higher intensity). The characteristic pattern is probable usual interstitial pneumonia (PIU). Multiple dendriform foci of calcification are associated with lesions, compatible with pulmonary ossification.

A ossificação pulmonar é um achado raro e é caracterizada pela presença de osso maduro nos espaços alveolares ou intersticiais, localizados ou disseminados por todo o parênquima pulmonar. Pode ser idiopática ou secundária a doenças pulmonares, cardíacas ou sistêmicas crônicas. Classifica-se em tipo nodular (ou circunscrito) e dendriforme (ou racemosa, ramificada).
***
Pulmonary ossification is a rare finding and is characterized by the presence of mature bone in the alveolar or interstitial spaces, located or disseminated throughout the lung parenchyma. It may be idiopathic or secondary to pulmonary, cardiac or chronic systemic diseases. It is classified as nodular (or circumscribed) and dendriform (or racemous, branched) type

A ossificação do tipo nodular consiste de pequenos nódulos de osso lamelar maduro nos espaços alveolares, mais freqüentemente nas áreas subpleurais dos lobos inferiores e está associada com hipertensão pulmonar venosa, especialmente devido à estenose mitral.
A ossificação pulmonar dendriforme (OPD) é uma doença pulmonar rara na qual osso maduro está presente no interstício periférico do pulmão. Essa ramificação ocorre em intervalos regulares e em ângulos de 60 a 70 ° a cada 2 cm e a palavra "dendriforme" refere-se a esse padrão de árvore. Geralmente ocorre em pacientes com pneumonia intersticial usual (PIU) e homens (6:1) com idade média de 64 anos.
***
Nodular-type ossification consists of small nodules of mature lamellar bone in the alveolar spaces, most frequently in the subpleural areas of the lower lobes and is associated with venous pulmonary hypertension, especially due to mitral stenosis.
Dendriform pulmonary ossification (DPO) is a rare lung disease in which mature bone is present in the peripheral interstice of the lung. This branching occurs at regular intervals and at angles of 60 to 70 ° every 2 cm and the word "dendriform" refers to this tree pattern. It usually occurs in patients with usual interstitial pneumonia (UIP) and men (6: 1) with a mean age of 64 years.

A lesão tecidual é considerada o fator provocador mais importante na gênese da lesão. Fibroblastos pulmonares (ou possivelmente macrófagos) podem se diferenciar em osteoblastos em resposta a hipóxia ou acidose local e que produzem deposição óssea real. A OPD é um processo indolente e lentamente progressivo que não deve levar a procedimentos invasivos nem ser diagnosticado como doença pulmonar intersticial ou carcinomatose linfangítica
***
Tissue injury is considered the most important provoking factor in the genesis of the injury. Pulmonary fibroblasts (or possibly macrophages) can differentiate into osteoblasts in response to local hypoxia or acidosis and which produce real bone deposition. DPO is an indolent and slowly progressive process that should not lead to invasive procedures or be diagnosed as interstitial lung disease or lymphangitic carcinomatosis

Observe que nos cortes inferiores há áreas em vidro fosco e as lesões tendem a predominar do lado esquerdo, o que pode sugerir relação com aspiração noturna devido ao decúbito.
***
In the lower sections there are areas of ground glass and the lesions tend to predominate on the left side, which may suggest a relationship with nocturnal aspiration due to the decubitus position.

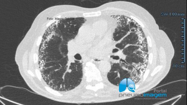
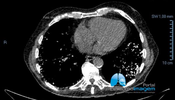
Nos cortes com a janela para o mediastino é possível se observar melhor os focos de calcificação intersticial.
***
In CT slices with the window to the mediastinum, it is possible to better observe the foci of interstitial calcification.

Nos cortes com a janela para o mediastino é possível se observar melhor os focos de calcificação intersticial.
***
In CT slices with the window to the mediastinum, it is possible to better observe the foci of interstitial calcification.

Na ausência de pneumonia intersticial usual, a associação mais frequente é com aspiração ácida recorrente. Nesses casos, os pacientes costumam ser mais velhos (idade média de 79 anos) e a maioria possui Doença do Refluxo Gastroesofágico (DRGE - 75%), Apneia Obstrutiva do Sono (SAOS) ou uma condição neurológica debilitante. Nesse caso, observe no exame contrastado do esôfago, estômago e duodeno (EED) o peristaltismo esofágico reduzido e incoordenado, com ondas terciárias e esvaziamento lento, o que provoca estase na luz do órgão e favorece aspiração para os pulmões.
***
In the absence of usual interstitial pneumonia, the most frequent association is with recurrent acid aspiration. In these cases, patients are usually older (mean age 79 years) and most have Gastroesophageal Reflux Disease (GERD - 75%), Obstructive Sleep Apnea (OSA) or a debilitating neurological condition. In this case, observe in the contrasted examination of the esophagus, stomach and duodenum the reduced and uncoordinated esophageal peristalsis, with tertiary waves and slow emptying, which causes stasis in the organ lumen and favors aspiration to the lungs.
*
FONTES:
Gruden JF et al. American Journal of Roentgenology. 2017; 209: 1209-1215.
Egashira R et al. Radiology. 2017; 284: 255-263.
Você pode baixar esses artigos pela nossa Central de Downloads.
1 COMENTÁRIOS
JORGE EDUARDO MANHÃES DE CARVALHO
Médico(a)
Niterói - Rio de Janeiro - 01/08/2022 16:01DEIXE SEU COMENTÁRIO