PESQUISA DE IMAGENS

 

Central de Downloads

Encontre em nossa área de downloads vários arquivos e PDF, PPT, WORD, entre outros. Todos os arquivos com relevância para sua pesquisa.

Sessão Retrô

Artigos que contam a história da pneumologia.

DRGE E BOOP

DRGE E BOOP

Paciente de 56 anos, sexo feminino, com tosse persistente.

Radiografia com opacidade em ápice esquerdo. A investigação afastou tuberculose ou colagenoses. PPD negativo.

Patient 56-year-old female with persistent cough. Radiography with opacity in the left upper lobe.

The research pulled away tuberculosis or collagen vascular disease. PPD negative.


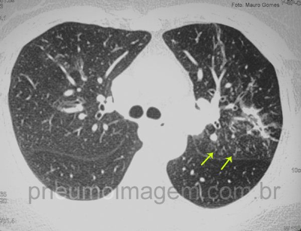
Opacidades apicais irregulares bilaterais, com predomínio no lobo superior esquerdo.

Alguns nódulos centrolobulares (setas amarelas) à esquerda, alguns à direita em menor número em topografia de lobo médio.

Irregular bilateral apical opacities, predominantly in the left upper lobe.

Some centrilobular nodules (yellow arrows) on the left, some right on the topography of the middle lobe.


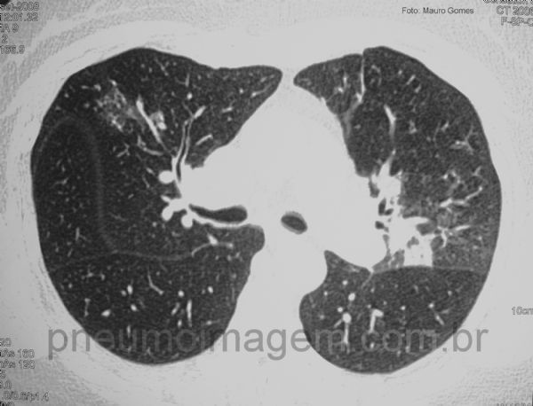
As lesões estendem-se por ambos os lobos superiores e lobo médio, à direita.

Diagnóstico de BOOP (bronquiolite obliterante com pneumonia em organização) confirmado através de biópsia a céu aberto, com achado de pneumonia em organização e doença bronquiolocêntrica.

The lesions extend over both upper lobes and middle lobe on the right.

Diagnosis of BOOP (bronchiolitis obliterans organizing pneumonia) confirmed by open biopsy with findings of organizing pneumonia and bronchiolocentric disease.


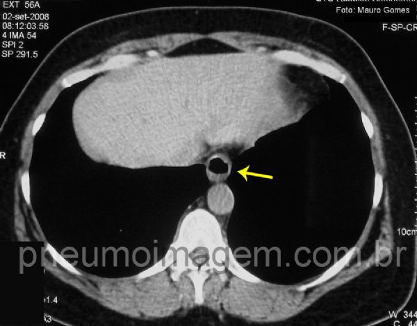
Pequena hérnia hiatal (seta amarela) sugerindo a presença de refluxo.

As manifestações pulmonares da DRGE podem ocorrer em qualquer região dos pulmões, dependendo do decúbito assumido pelo paciente ao dormir.

A BOOP faz parte das lesões pulmonares subagudas por aspiração, juntamente com a bronquiolite aspirativa difusa e a granulomatose miliar (esta associada à aspiração de partículas vegetais).

Chaves: pneumonia em organização criptogênica; Doença do Refluxo Gastresofágico; hérnia de hiato; hérnia do hiato.

Small hiatal hernia (yellow arrow) suggesting the presence of reflux.

The pulmonary manifestations of GERD can occur in any region of the lungs, depending on the patient recumbent position while sleeping.

The BOOP is part of subacute pulmonary lesions by aspiration together with the aspiration diffuse bronchiolitis and miliary granulomatosis (associated to aspiration of vegetable particles).

Keys: cryptogenic organizing pneumonia, COP; gastroesophageal reflux disease, hiatus hernia.


Compartilhe: