Síndrome de Kartagener. Inversão visceral (dextrocardia), bronquiectasias e sinusite.
Chaves:
Discinesia ciliar; Primary ciliary dyskinesia; immotile ciliary syndrome; Kartagener Syndrome.

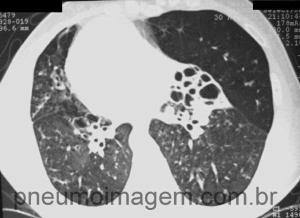
Dextrocardia e bronquiectasias. Observe a hiperinsuflação compensatória do lobo inferior, com pobreza vascular.
Chaves:
situs inversus; dextrocardy; bronchiectasis.

Pan-sinusite.
Chaves:
chronic sinusitis.
DEIXE SEU COMENTÁRIO