PESQUISA DE IMAGENS

 

Central de Downloads

Encontre em nossa área de downloads vários arquivos e PDF, PPT, WORD, entre outros. Todos os arquivos com relevância para sua pesquisa.

Sessão Retrô

Artigos que contam a história da pneumologia.

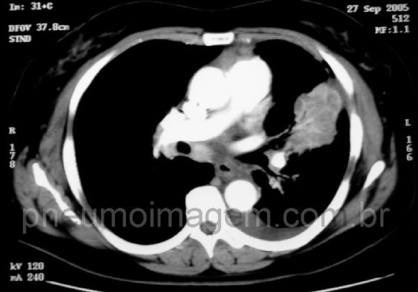
LINFANGITE CARCINOMATOSA

LINFANGITE CARCINOMATOSA

Linfangite carcinomatosa unilateral. O espessamento dos septos interlobulares pode ser liso (setas vermelhas) ou nodular (em rosário) - setas amarelas. Os vasos intralobulares podem estar proeminentes devido ao espessamento intersticial centrolobular (seta azul). Apesar do espessamento septal, não há distorção da arquitetura pulmonar, o que diferencia as alterações da linfagite das alterações da fibrose pulmonar.

*****

Unilateral lymphangitic carcinomatosis. Interlobular septal thickening can be smooth (red) or nodular (yellow); intralobular vessels prominent (blue); no distortion of pulmonary architecture, which differs lymphangitis from pulmonary fibrosis.


Linfangite carcinomatosa pulmonar refere-se ao crescimento tumoral no sistema linfático dos pulmões. É mais comum de ocorrer devido ao câncer de mama, pulmão, estômago, pâncreas, próstata, útero e tireóide. NesSa imagem, observa-se o tumor primário pulmonar.

*****

Carcinomatous lymphangitis refers to tumor growth in the lymphatic system of the lungs. It is more likely to occur due to breast cancer, lung, stomach, pancreas, prostate, uterus and thyroid. In this image, we observe the lung primary tumor.


Compartilhe: