PESQUISA DE IMAGENS

 

Central de Downloads

Encontre em nossa área de downloads vários arquivos e PDF, PPT, WORD, entre outros. Todos os arquivos com relevância para sua pesquisa.

Sessão Retrô

Artigos que contam a história da pneumologia.

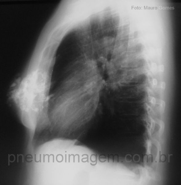
CALCIFICAÇÃO DE MAMAS

CALCIFICAÇÃO DE MAMAS

A importância da incidência em perfil pode ser verificada neste caso. Observe os nódulos grosseiros, calcificados, difusos pelos campos pulmonares inferiores.

Sem o estudo em perfil, essas imagens poderiam ser interpretadas erroneamente como nódulos calcificados nos pulmões.


A incidência em perfil esclarece essa questão. Trata-se nódulos com calcificação "em pipoca" localizados nas mamas, que podem ser encontrados no fibroadenoma mamário.

Geralmente assintomático, constitui-se em achado radiológico em pacientes de
maior faixa etária.

Chaves: nódulos mamários calcificados; calcificações mamárias; calcified breast lumps; calcified breast nodules; breast calcifications; breast fibroadenoma.


Compartilhe: