
Mycobacterium massiliense (micobactéria de crescimento rápido).
Opacidades em vidro fosco nos lobos superiores, de predomínio subpleural, associadas a área de bronquiectasias.
Chaves: nontuberculous mycobacteria (NTM); mycobacteriosis; bronchiectasis.
-LSS-A.jpg)
Neste corte ainda observa-se nos lobos superiores a presença de nódulos centrolobulares e áreas de impactação mucóide.
Chaves: centrolobular nodules; mucoid impaction.
-carina.jpg)
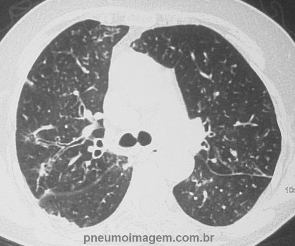
No corte na altura da carina observa-se a presença de bronquiectasias (sinal do trilho de trem) e nódulos centrolobulares difusos.
Chaves: train track sign.
-LIS.jpg)
Nesta figura observa-se que as alterações distribuem-se por todo o pulmão.
Este corte ilustra as lesões em lobo médio, língula e lobos inferiores.
-LIS-A.jpg)
Nesta figura observa-se que as alterações distribuem-se por todo o pulmão.
Este corte ilustra as lesões em lobo médio, língula e lobos inferiores.
DEIXE SEU COMENTÁRIO