PESQUISA DE IMAGENS

 

Central de Downloads

Encontre em nossa área de downloads vários arquivos e PDF, PPT, WORD, entre outros. Todos os arquivos com relevância para sua pesquisa.

Sessão Retrô

Artigos que contam a história da pneumologia.

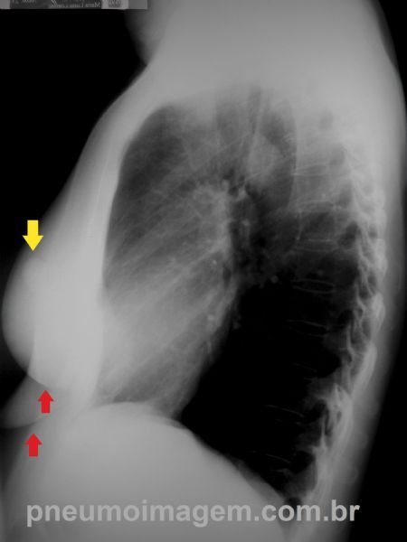
MAMILO

MAMILO

Nódulo isolado projetado sobre o pulmão esquerdo (seta amarela). As setas vermelhas apontam a grande assimetria entre as mamas.

Chaves: Isolated nodule in the left lung (yellow arrow). Large asymmetry between the breasts (red arrows).


Pela radiografia em perfil pode-se observar que o nódulo encontra-se projetado sobre as partes moles.

O exame clínico constatou ser o mamilo esquerdo. As setas vermelhas apontam o contorno das mamas e a grande assimetria entre elas.

Chaves: By the lateral film the nodule is located on the soft parts. Clinical examination found to be the left nipple. The red arrows indicate the contour of the breasts and large asymmetry between them.


Compartilhe: