
Radiografia em PA demonstrando múltiplas imagens em bala de canhão, compatíveis com metástases hemtogênicas. O caso se trata de câncer de parótida.
*****
Chest X-ray demonstrating multiple images in Cannonball compatible with hematogenous metastases. The case involves parotid cancer.
Chaves: cancer of the parotid gland; cannon ball metastases; lung metastasis; salivary gland tumors; bola de canhão; metástases pulmonares.

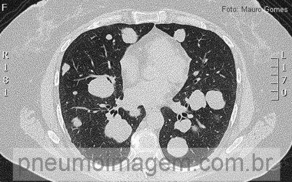
Metástases em bala de canhão. Opacidades arredondadas bilaterais, com limites bem definidos, algumas se superpondo.
Os pacientes com tumores de glândulas salivares relatam aumento progressivo de parótida ou glândula submandibular. A ocorrência de queixas neurológicas, como dor, paralisia ou parestesia falam a favor de tumor maligno.
*****
Metastases in cannonball. bilateral rounded opacities with well-defined limits, some superimposing.
Patients with salivary gland tumors have reported progressive increase of the parotid or submandibular gland. The occurrence of neurological symptoms such as pain, paralysis or numbness suggests malignancy.

As lesões se estendem desde os ápices até as bases pulmonares. Os pacientes com tumores de parótida possuem prognóstico melhor que aqueles com tumor de glândula submandibular. O carcinoma mucoepidermóide é o tipo histológico mais prevalente na parótida.
*****
The lesions extend from the apices to the lung bases. Patients with parotid tumors have a better prognosis than those with submandibular gland tumor. The mucoepidermoid carcinoma is the histological type most prevalent in the parotid.

As lesões se estendem desde os ápices até as bases pulmonares. Metástase à distância é um fator de mau prognóstico e ocorre aproximadamente em 20% dos pacientes com tumores primários de parótida. O sítio preferencial é o pulmonar. Nos casos de tumores de glândulas submandibulares, essa taxa atinge 40%.
*****
The lesions extend from the apices to the lung bases. Distant metastasis is a poor prognostic factor and occurs in approximately 20% of patients with primary parotid tumors. The preferred site is the lung. In cases of tumors of the submandibular glands, this rate reaches 40%.
DEIXE SEU COMENTÁRIO