
Paciente esplenectomizado por púrpura trombocitopênica idiopática (PTI) com insuficiência respiratória por pneumonia por pneumococo (Streptococcus pneumoniae). Radiografia com opacidades intersticiais difusas bilateralmente. Chaves: PAC, pneumopatia intersticial, pneumonia típica, pneumonia adquirida na comunidade.
*****
Splenectomized patient due to idiopathic thrombocytopenic purpura (ITP) with respiratory failure due to pneumonia by pneumococci (Streptococcus pneumoniae). Chest radiography showed diffuse interstitial opacities bilaterally. Keys: CAP, interstitial lung disease, typical pneumonia.

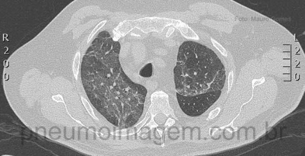
Cortes tomográficos em lobos superiores, na altura da carina e nos lobos inferiores demonstrando opacidades em vidro fosco difusas bilaterais.
*****
Tomographic slices in the upper lobes, in the carina level and lower lobes demonstrating bilateral diffuse ground glass opacities.

O pneumococo é o patógeno mais comumente relacionado às pneumonias adquiridas na comunidade. Historicamente, a pneumonia pelo pneumococo era chamada por pneumonia típica. Esse conceito não tem mais razão de ser, pois hoje se sabe que o que determina a expressão radiológica da PAC é o estado imunológico e funcional prévio do doente e não apenas as características do germe envolvido.
Como se pode notar nesse caso de PAC, predominam as opacidades em vidro fosco e intersticiais, diferentes do padrão clássico de consolidação lobar geralmente descrito para o pneumococo.

Pneumococcus (Streptococcus pneumoniae) is the pathogen most commonly associated with community-acquired pneumonia (CAP). Historically, pneumonia by pneumococci was called by typical pneumonia. Today we know that what determines the radiological expression of the CAP is the prior functional status of the patient and not just the characteristics of the involved germ.
As noted in this patient predominate ground glass and interstitial opacities, different from the classical pattern of lobar consolidation generally described for pneumococcal disease.

Radiografia após uma semana de tratamento com levofloxacino demonstrando resolução quase completa das lesões iniciais. O diagnóstico etiológico foi realizado pela presença do antígeno urinário pneumocóccico.
*****
Chest X after one week of treatment with levofloxacin showing almost complete resolution of the initial lesions. The etiologic diagnosis was made by the presence of pneumococcal urinary antigen.
DEIXE SEU COMENTÁRIO