PESQUISA DE IMAGENS

 

Central de Downloads

Encontre em nossa área de downloads vários arquivos e PDF, PPT, WORD, entre outros. Todos os arquivos com relevância para sua pesquisa.

Sessão Retrô

Artigos que contam a história da pneumologia.

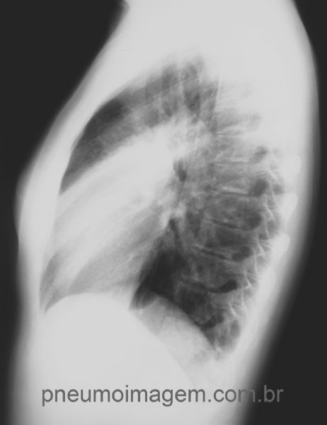
PNEUMONIA EM LÍNGULA

PNEUMONIA EM LÍNGULA

Pneumonia comunitária levando a opacidade em língula. Observe que há perda do contorno da sombra cardíaca à esquerda.

O seio costofrênico está livre, indicando ausência de derrame pleural. Chaves: Pneumonia Adquirida na Comunidade (PAC); pneumonia típica.

Community-acquired pneumonia (CAP) leading to opacity in the lingula. Note that there is blurring of the cardiac shadow on the left.

The costophrenic angle is clear, indicating the absence of pleural effusion. Keys: community pneumonia; lingular pneumonia; typical pneumonia.


Observe na incidência em perfil a imagem se projetando sobre a sombra cardíaca.


Radiografia do mesmo paciente após tratamento com levofloxacina por 7 dias: resolução quase completa da opacidade anterior.


Na incidência em perfil pode observar a resolução quase completa da pneumonia após o tratamento.

Chaves: condensação.


Compartilhe: