
Pneumonia Adquirida na Comunidade (PAC) em Lobo Inferior Direito. A opacidade em lobo inferior direito pode ser inferida pela posição em PA (póstero-anterior) devido à facilidade em se delimitar o contorno da sombra cardíaca à direita. Há a presença de broncograma aéreo no interior da opacidade (seta).
Chaves: pneumonia lobar; community acquired pneumonia (CAP); bronchogram (arrow); right lower lobe pneumonia; lobar pneumonia; pneumonia típica.

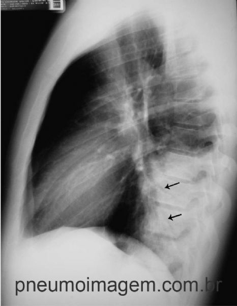
A incidência em perfil caracteriza bem a localização no lobo inferior. Observe que a sombra cardíaca encontra-se normal. Há a presença de broncogramas aéreos no interior da opacidade (seta).

O corte pela tomografia computadorizada permite caracterizar melhor a condensação com a presença dos broncogramas aéreos no seu interior (seta).
4 COMENTÁRIOS
Dr. Vinicius Brandino
Fisioterapeuta Intensivista
SMA - Sp - 14/02/2023 11:39maria da paz de souza oliveira
estudante do curso de fisioterapia
Belém - Pará - 06/01/2013 23:13maria da paz de souza oliveira
estudante do curso de fisioterapia
Belém - Pará - 06/01/2013 23:13Renata
Estudante de Medicina
Es - 13/05/2012 11:18DEIXE SEU COMENTÁRIO