
Esse caso destaca bem a importância da incidência em perfil para o diagnóstico das doenças pulmonares. Muitas vezes a pneumonia pode não ser percebida à primeira vista pela radiografia em PA. Observe atentamente e procure identificar alguma alteração nesta radiografia de um paciente diagnosticado com pneumonia.
Chaves: Pneumonia Adquirida na Comunidade (PAC); pneumonia lobar; pneumonia típica.
*****
This case highlights the importance of the right lateral view for the
diagnosis of pulmonary diseases. Often pneumonia can not be perceived at first glance by the incidence in the posteroanterior position. Look closely and try to identify any changes in this radiograph of a
patient diagnosed with pneumonia.

Ao perfil pode-se observar que existe uma elevação da cúpula frênica direita (seta amarela) associada a uma área triangular com a base voltada para a coluna (seta azul), compatível com uma atelectasia segmentar em lobo inferior direito.
*****
In the side view we observe that there is an elevation of the right diaphragm (yellow arrow) associated with a triangular area with the base turned to the column (blue arrow), consistent with a segmental atelectasis in the right lower lobe.

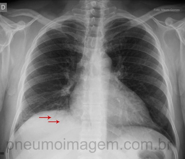
Voltando agora à radiografia em PA, percebe-se que há uma assimetria entre as cúpulas frênicas, com a direita mais elevada que a esquerda. Isso provavelmente é determinado pela atelectasia segmentar presente no lobo inferior direito. Também é possível notar que atrás da linha do diafragma existe uma opacidade com a presença de broncogramas aéreos no seu interior (setas vermelhas), demonstrando a região com pneumonia.
Chaves: aerobroncograma; pneumonia típica; typical pneumonia; Pneumonia Adquirida na Comunidade (PAC).
*****
Asymmetry between the hemidiaphragm with the right higher than the left. This probably is determined by segmental atelectasis present in the right lower lobe. Looking closely you can see that behind the line of the diaphragm is an opacity with the presence of air bronchograms inside (red arrows), demonstrating the region with pneumonia.
Keys: typical pneumonia; segmental atelectasis; Community Acquired Pneumonia (CAP); lobar pneumonia.
1 COMENTÁRIOS
Marcello Galvão
Medico interno
Corumbá - Mato grosso do sul - 14/09/2018 09:42DEIXE SEU COMENTÁRIO