
Pneumonia Comunitária em lobo Inferior Esquerdo.
Observe a dupla densidade projetando-se sobre a área cardíaca, indicando que deve haver lesão posterior ao coração.
Chaves: Pneumonia Adquirida na Comunidade (PAC); pneumonia lobar; condensação; pneumonia típica.

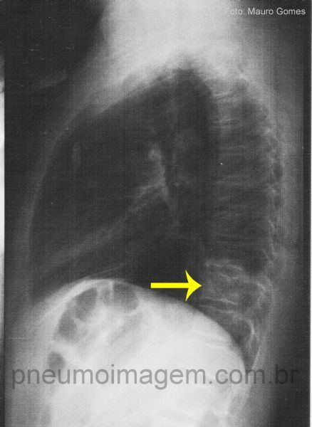
A incidência em perfil permite visualizar a opacidade retrocardíaca, projetando-se sobre a coluna (seta amarela).
Chaves: community pneumonia; community acquired pneumonia (CAP); lobar pneumonia, condensation; left lower lobe pneumonia; typical pneumonia.
DEIXE SEU COMENTÁRIO