
Radiografia em posteroanterior (PA) com opacidade predominante localizada no lobo superior direito (seta amarela) em caso de pneumonia adquirida na comunidade (PAC). Observe também que há outra opacidade menor em região do lobo médio (seta vermelha).
Chaves: PAC; pneumonia típica.
*****
Radiography in posteroanterior position (PA) with a predominant localized opacity in the right upper lobe (yellow arrow) in the case of acquired pneumonia (CAP). Also note that there is another small opacity in the middle lobe (red arrow) region.
Keys: PAC; Typical pneumonia.

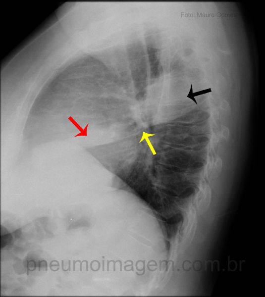
Na incidência em perfil podem-se observar as opacidades no lobo superior direito (seta preta) e no lobo médio, sobre a imagem cardíaca (seta vermelha), delimitadas do lobo inferior direito pela cissura oblíqua (seta amarela).
*****
In the lateral position can be observed opacities in the right upper lobe (black arrow) and middle lobe (red arrow), right lower lobe bounded by oblique fissure (yellow arrow).
DEIXE SEU COMENTÁRIO