PESQUISA DE IMAGENS

 

Central de Downloads

Encontre em nossa área de downloads vários arquivos e PDF, PPT, WORD, entre outros. Todos os arquivos com relevância para sua pesquisa.

Sessão Retrô

Artigos que contam a história da pneumologia.

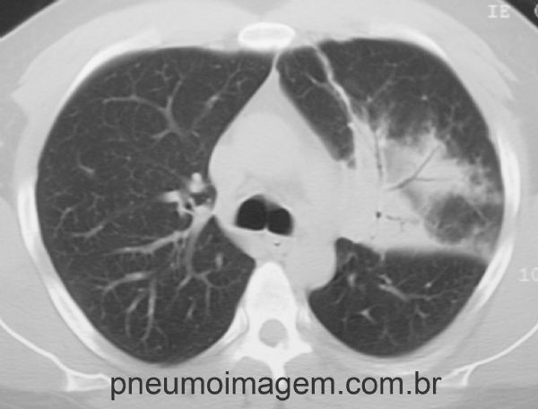
PNEUMONIA EM LOBO SUPERIOR ESQUERDO

PNEUMONIA EM LOBO SUPERIOR ESQUERDO

Pneumonia comunitária demonstrada por opacidade heterogênea em lobo superior esquerdo.

Chaves: Pneumonia Adquirida na Comunidade (PAC); pneumonia lobar; pneumonia típica; condensação.

Community acquired pneumonia (CAP) demonstrated by heterogeneous opacity in the left upper lobe. Keys: typical pneumonia; lobar pneumonia; condensation.


Corte tomográfico demonstra a presença de broncogramas aéreos no interior da opacidade.

Chaves: community pneumonia; left upper lobe pneumonia.


Compartilhe: