
O primeiro relato de pneumonia redonda, ou pseudotumoral, ocorreu em 1954. A lesão é definida pelo aspecto radiográfico como uma consolidação pulmonar ovalada. Dos casos de pneumonia, menos de 1% se manifesta como lesão redonda e, quando ocorre, trata-se de um achado precoce no curso da doença. É uma apresentação radiológica atípica encontrada normalmente em crianças e rara em adultos.
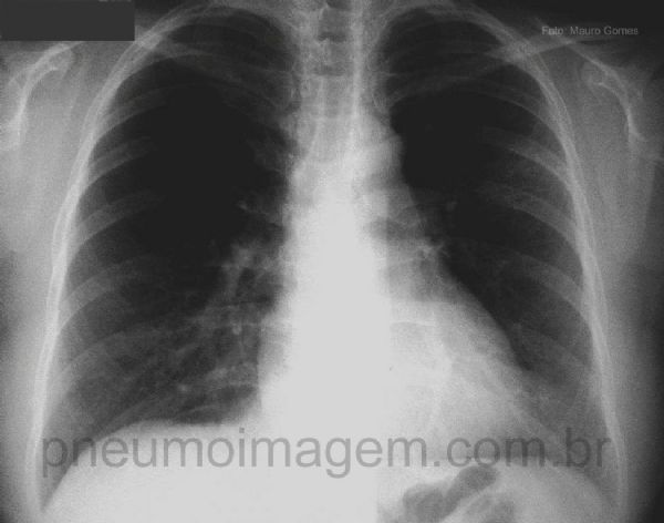
A lesão, neste caso, é arredondada e localiza-se no lobo inferior esquerdo. Acredita-se que este formato seja devido à disseminação da infecção através dos poros de Kohn e canais de Lambert, ou por destruição das paredes alveolares. Broncogramas aéreos no seu interior não é a rotina (17% dos casos). O diagnóstico diferencial é feito principalmente com o carcinoma broncogênico.
*****
The first report of round pneumonia occurred in 1954. The lesion is defined as an oval-shaped consolidation and occurs in less than 1% of the cases. This is an early finding in the disease course. It is an atypical radiological presentation usually found in children and rare in adults.
The injury in this case is located in the left lower lobe. It is believed that this format is due to the infection spreading through the pores of Kohn and the channels Lambert, or by destruction of alveolar walls. Air bronchograms inside is not routine (17% of cases). The differential diagnosis is made primarily with bronchogenic carcinoma.

A tosse e os sintomas respiratórios estão geralmente ausentes na apresentação inicial da pneumonia redonda, dificultando o diagnóstico. Apresenta-se como quadro agudo ou subagudo de pneumonia ou até assintomáticos. Sua evolução tende a ser benigna, entretanto, dificuldades diagnósticas demandando toracotomia exploradora e até mesmo óbitos têm sido descritos.
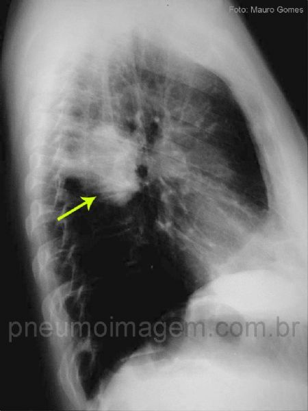
Nesta radiografia em perfil é possível observar que a lesão (seta amarela) se localiza no segmento apical do lobo inferior esquerdo.
*****
Cough and respiratory symptoms are generally absent in the initial presentation, making diagnosis difficult. Presents as an acute or subacute pneumonia or even asymptomatic. Its evolution tends to be benign.
In this lateral view you can see that the lesion (yellow arrow) is located in the apical segment of the left lower lobe.

Os dados de história e exame físico devem ser utilizados para optar-se pela investigação diagnóstica ou pela conduta terapêutica inicial nos casos de pneumonia redonda. Diante de imagem radiológica arredondada e associada a alterações laboratoriais compatíveis com quadro infeccioso, é razoável formular a hipótese de pneumonia redonda e aguardar a resposta clínica à antibioticoterapia.
Optando-se pelo tratamento empírico, o controle radiológico precoce pós-tratamento é obrigatório. Neste caso, observa-se a resolução completa da lesão após uma semana do tratamento com amoxacilina.
*****
History and physical exam should be used to choose by the diagnostic investigation or use of antibiotics. Rounded image associated with laboratory abnormalities compatible with infection, it is reasonable to hypothesize round pneumonia and wait for the clinical response to antibiotic therapy.
Opting for the empirical treatment, radiological control early post-treatment is required. In this case, there was complete resolution of the lesion after one week of treatment with amoxicillin.
DEIXE SEU COMENTÁRIO