PESQUISA DE IMAGENS

 

Central de Downloads

Encontre em nossa área de downloads vários arquivos e PDF, PPT, WORD, entre outros. Todos os arquivos com relevância para sua pesquisa.

Sessão Retrô

Artigos que contam a história da pneumologia.

DRGE E PNEUMONIA POR ASPIRAÇÃO - 2

DRGE E PNEUMONIA POR ASPIRAÇÃO - 2

Paciente com quadro agudo de tosse, expectoração e febre. Corte tomográfico com opacidades heterogêneas em lobo inferior direito. Diagnóstico de PAC (pneumonia adquirida na comunidade).

*****

Patient with acute cough, sputum and fever. CT slice with heterogeneous opacities in the right lower lobe. Diagnosis of CAP (community acquired pneumonia).


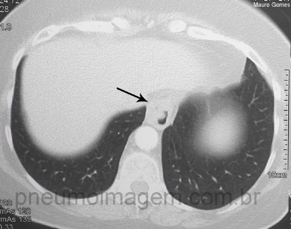
Corte demonstrando a hérnia hiatal (seta preta) indicando que a provável causa da PAC foi a doença do refluxo gastresofágico (DRGE). Chaves: hérnia de hiato; hérnia do hiato.

*****

Hiatal hernia (black arrow) indicating that the probable cause of the CAP was to gastroesophageal reflux disease (GERD). Keys: hiatus hernia.


Compartilhe: