
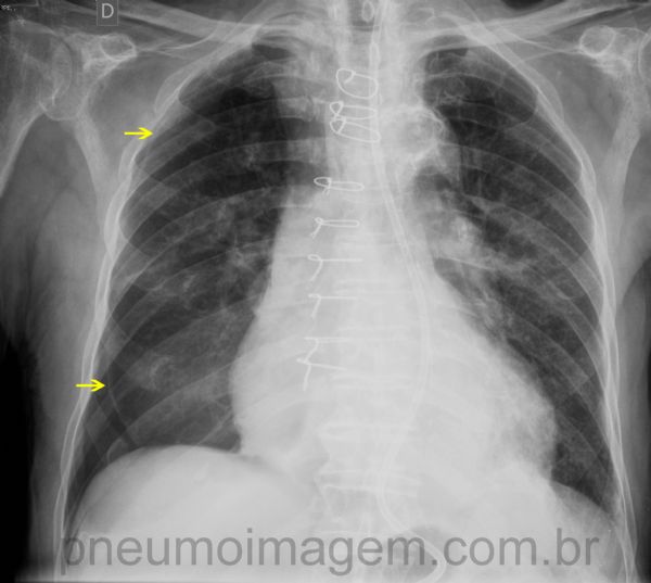
Pneumotórax à direita pós-punção pleural (toracocentese).
Observe a linha da pleura (setas amarelas) delimitando o pulmão colabado.
Velamento do seio costofrênico direito compatível com derrame pleural (hidropneumotórax).

Reexpansão espontânea parcial do pulmão após 3 dias de observação.
Ainda há pneumotórax residual na região inferior direita.
DEIXE SEU COMENTÁRIO