PESQUISA DE IMAGENS

 

Central de Downloads

Encontre em nossa área de downloads vários arquivos e PDF, PPT, WORD, entre outros. Todos os arquivos com relevância para sua pesquisa.

Sessão Retrô

Artigos que contam a história da pneumologia.

COLAPSOTERAPIA COM BOLAS DE LUCITE

COLAPSOTERAPIA COM BOLAS DE LUCITE

Colapsoterapia consistia em um tratamento cirúrgico de tuberculose pulmonar em que se promovia uma imobilização total ou parcial do pulmão pela retirada de parte da caixa torácica (toracoplastia), pela secção unilateral do nervo frênico ou pela colocação de vários materiais para ocupar espaço e manter o pulmão colapsado.

A colapsoterapia representou o tratamento padrão para tuberculose pulmonar a partir de 1930 até o advento da isoniazida, em 1952 .

Esse tratamento baseava-se sobre o conceito popular de que o colapso da porção afetada do pulmão tuberculoso iria limitar a propagação da infecção para partes não envolvidas de ambos os pulmões .

Também se supunha que isso permitiria o pulmão colapsado descansar e se recuperar.

A técnica da Colapsoterapia com Bolas de Lucite consistia em descascar a pleura parietal da parede torácica e a inserção destas bolas inertes entre os músculos intercostais e a pleura.

Nesta radiografia de tórax se observa uma grande opacidade que ocupa o terço superior do pulmão direito com áreas circulares e hipoatenuantes no seu interior. Essas imagens podem ser confundidas com cavidades.

A qualidade ruim da imagem radiográfica é devido a ela ter sido realizada em 1959. Chave: sequela de tuberculose; tbc; plumbagem.

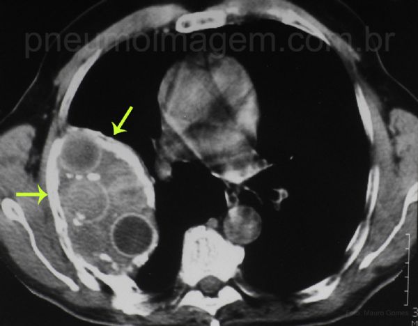
No corte tomográfico abaixo se oberva uma opacidade heterogênea com grande espessamento da pleura ao seu redor (setas amarelas) e imagens circulares no seu interior com elevada densidade periférica e interior com densidades variáveis, que correspondem às bolas de Lucite.

Cada uma dessas bolas costumava medir aproximadamente 2,5 cm de diâmetro (dois terços do tamanho de uma bola de pingue-pongue.


Collapsetherapy consisted of a surgical treatment of pulmonary tuberculosis whereby the lung was totally or partially immobilised, and involved placement of various materials to occupy space and keep the lung collapsed. It represented the standard treatment for tuberculosis from 1930 until the advent of isoniazid in 1952 . This treatment was based on the popular notion that the collapse of the affected portion of the diseased lung would limit the spread of infection to parties not involved in both lungs. Also it was assumed that this would allow the collapsed lung rest and recover. The technique of collapsotherapy with Lucite balls consisted of stripping the parietal pleura of the chest wall and the insertion of these inert balls between the intercostal muscles and pleura.

This treatment was based on the popular notion that the collapse of the affected portion of the diseased lung would limit the spread of infection to parties not involved in both lungs. The technique of collapsotherapy with Lucite balls consisted of stripping the parietal pleura of the chest wall and the insertion of these inert balls between the intercostal muscles and pleura.

The chest X-ray above there is a large opacity in the upper third of the right lung with circular hypodense areas inside. These images can be confused with cavities. The poor quality of the radiographic image is due to it had been held in 1959.

In this current CT slice there is a heterogeneous opacity with great thickening of the pleura around (yellow arrows) and circular images inside, with varying densities, which correspond to the Lucite balls. Each of these balls measuring approximately 2.5 cm (1 in.) in diameter (two-thirds the size of a ping pong ball). Key: plumbago.


Compartilhe: