PESQUISA DE IMAGENS

 

Central de Downloads

Encontre em nossa área de downloads vários arquivos e PDF, PPT, WORD, entre outros. Todos os arquivos com relevância para sua pesquisa.

Sessão Retrô

Artigos que contam a história da pneumologia.

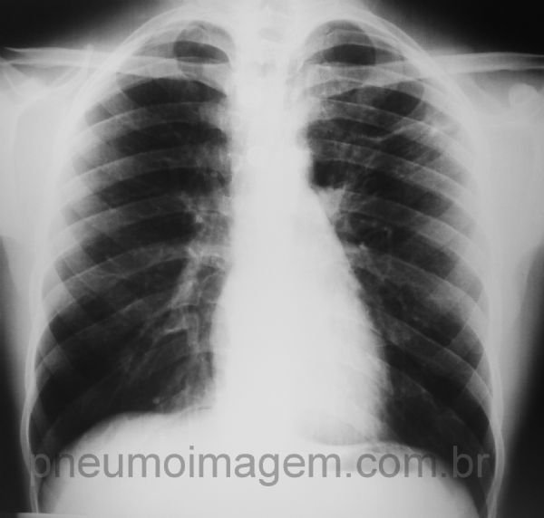
Tuberculose em lobo superior esquerdo

Tuberculose em lobo superior esquerdo

Opacidades alveolares e intersticiais no ápice esquerdo em caso de tuberculose pulmonar.

*****

Alveolar and interstitial opacities in the left apex in case of pulmonary tuberculosis.


Radiografia do mesmo paciente após o tratamento. Observe a resolução das antigas opacidades, permanecendo imagens cicatriciais (estrias) em lobo superior esquerdo.

*****

Chest radiograph of the same patient after treatment. Observe the resolution of the ancient opacities, remaining scar images in the left upper lobe.


Compartilhe: