PESQUISA DE IMAGENS

 

Central de Downloads

Encontre em nossa área de downloads vários arquivos e PDF, PPT, WORD, entre outros. Todos os arquivos com relevância para sua pesquisa.

Sessão Retrô

Artigos que contam a história da pneumologia.

TUBERCULOSE DISSEMINADA - 2

TUBERCULOSE DISSEMINADA - 2

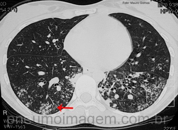
Tuberculose disseminada confirmada por cultura positiva para Mycobacterium tuberculosis.
Observe as lesões estendendo-se por ambos os pulmões. Incontáveis nódulos centrolobulares difusos, conferindo o aspecto de árvore em brotamento.

*****
Disseminated tuberculosis confirmed by culture positive for Mycobacterium tuberculosis. Note the lesions extending over both lungs. Countless diffuse centrolobular nodules, giving the aspect of "tree in bud".

Chaves:
árvore em florescência;
árvore em brotamento;
tree-in-bud;
centrolobular nodules;
disseminated tuberculosis.


As lesões estendem-se pelos lobos superiores e inferiores, separados pela cissura (setas amarelas).
Cavidade no lobo inferior esquerdo. Numerosos nódulos centrolobulares bilaterais, indicando impactação de muco em vias aéreas terminais (bronquíolos) e provável disseminação broncogênica da tuberculose.

*****
The lesions extend through the upper and lower lobes, separated by the cissura (yellow arrows). Cavity in the lower left lobe. Numerous bilateral centrilobular nodules, indicating impaction of mucus in the terminal airways (bronchioles) and probable bronchogenic dissemination of tuberculosis.


Nódulos centrolobulares difusos bilaterais conferindo o aspecto de árvore em brotamento. O sinal da árvore em brotamento caracteriza pequenas vias aéreas ou bronquíolos terminais preenchidos com muco, pus, fluidos ou células.

São opacidades nodulares ramificadas em V e Y que se assemelham a brotos de árvore. As opacidades se formam no centro do lóbulo pulmonar secundário e geralmente poupam a região subpleural, incluindo o espaço adjacente às fissuras.

Apesar de mais frequente em micobacterioses, pode ser sinal de várias infecções causadas por bactérias, fungos, parasitas e vírus.

*****

Diffuse bilateral centrolobular nodules giving the appearance of budding tree. This signal features small airways or terminal bronchioles filled with mucus, pus, fluids, or cells.

They are nodular opacities branched into V and Y that resemble tree shoots. The opacities form at the center of the secondary pulmonary lobe and generally do not reach the subpleural region, including the space adjacent to the fissures.

Although more frequent in mycobacterioses, it can be a sign of several infections caused by bacteria, fungi, parasites and viruses.


Compartilhe: