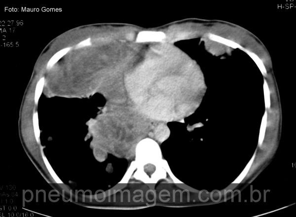
Massa no mediastino que borra o contorno cardíaco à direita, indicando que a lesão deve ser anterior (seta amarela). Há inúmeros nódulos bilaterais (setas pretas) indicando disseminação metastática da doença.
A família de Tumores de Ewing compreende um espectro de neoplasias de células neuroectodérmicas primitivas, que são células embrionárias que migram da crista neural.
Chaves: mediastinal tumor; Ewing tumor (yellow); metastases (black); aumento do mediastino; alargamento do mediastino; mediastinal enlargement; mediastinum.
Detalhe do pulmão esquerdo mostrando os numerosos nódulos pulmonares. Dependendo do grau de diferenciação neural, esses tumores são denominados Sarcoma de Ewing, quando é um tumor indiferenciado, ou Tumor Neuroectodérmico Primitivo Periférico (PPNET), quando apresenta características de diferenciação neural.
Chaves: Primitive neuroectodermal tumors (PNET); metastatic nodules.
Massa que se estende desde o mediastino médio até o mediastino anterior, comprometendo a parede torácica anterior, e com áreas centrais de necrose. O PPNET da área toracopulmonar é frequentemente denominado tumor de Askin. Chaves: Askin tumor.
.jpg)
Numerosos nódulos bilaterais. Observe que há íntimo contato do nódulo com o vaso adjacente (seta amarela), indicando disseminação hematogênica da doença.
DEIXE SEU COMENTÁRIO