AVALIAÇÃO VISUAL DE CALCIFICAÇÃO NAS CORONÁRIAS PODE INDICAR RISCO DE DOENÇA CORONARIANA
Data de Publicação: 05/12/2013

Estudo sugeriu que uma simples análise de depósitos de cálcio nas artérias coronárias observadas em exames de triagem de TC de tórax pode alertar os médicos que os pacientes apresentam risco de doença coronariana.
O padrão ouro para marcar calcificação da artéria coronária é o método de Agatston, mas neste estudo os pesquisadores também realizaram uma avaliação apenas visual do coração e dizendo a sua impressão se a pessoa tem calcificação variando entre zero e grosseira.
Este foi um estudo caso-controle retrospectivo e os pacientes foram selecionados aleatoriamente a partir de uma população de 53.452 indivíduos que foram submetidos a tomografia computadorizada para detectar câncer de pulmão. Foram avaliados exames de 1.570 pessoas, incluindo 210 que morreram de doença coronariana e 314 pacientes que morreram de outras causas. A média de idade foi de 61 anos, 59% eram homens e 92% eram brancos. Cerca de 55% das mortes no grupo de controle foram os homens em comparação com 67% daqueles que morreram de causas cardiovasculares ou outras ( P <0,0001).
As conclusões foram que analisando o nível de doença coronariana por simples observação à TC, comparado com métodos mais sofisticados de pontuação (Agatston), não houve diferença significativa para estratificar pacientes para risco grande, médio ou leve.
Os autores concluem que é extremamente importante saber que, se for observado cálcio nas artérias coronárias por avaliação visual, há um aumento significativo na taxa de mortalidade e deve haver uma recomendação para o tratamento. Para os pesquisadores, a avaliação visual de calcificação da artéria coronária pode ser utilizada para predição de risco de morte por doença coronária e mortalidade por todas as causas.
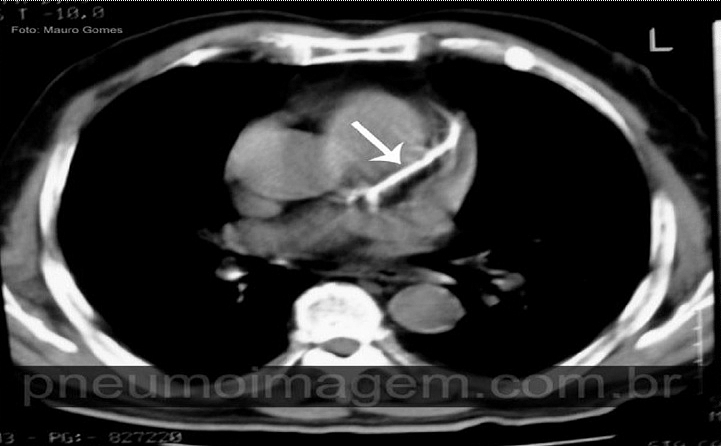
Veja imagens de calcificação coronariana no PneumoImagem, clicando aqui.
FONTE: Chiles C, et al "Coronary artery calcification as a predictor of mortality in the national lung screening trial - - American College of Radiology imaging network" RSNA 2013; Abstract SSC04-04.