Encontre em nossa área de downloads vários arquivos e PDF, PPT, WORD, entre outros. Todos os arquivos com relevância para sua pesquisa.
Sessão Retrô
Artigos que contam a história da pneumologia.
CASO CLÍNICO #46
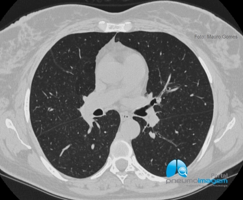
Paciente tabagista, oligossintomático e cuja TCAR de tórax apresenta essas alterações. Qual o diagnóstico mais provável? Deixe os seus comentários abaixo.
*****
A smoker, oligosymptomatic patient whose chest HRCT shows these changes. What is the most likely diagnosis? Write your comments below.
O pneumoimagem.com.br é destinado à informação e educação médica e dirigido exclusivamente aos médicos, profissionais de saúde e estudantes das áreas afins.
Ao continuar navegando você estará aceitando os Termos de Utilização do site e todas as regras nele contidas.
1 COMENTÁRIOS
ricardo delduque
pneumologia
catanduva - sp - 22/01/2018 12:56DEIXE SEU COMENTÁRIO