
A Aspergilose Invasiva (AI) é rara e ocorre principalmente em hospedeiros imunocomprometidos. Neutropenia e uso prolongado de glicocorticoides são os fatores predisponentes mais comuns. AI leva ao óbito em 70-90 nos imunocomprometidos por leucemia ou transplante de células hematopoéticas.
Opacidades alveolares difusas bilaterais. Observe a redução do volume do lobo superior direito, levando à retração da cissura horizontal para cima (seta branca) e ao desvio da traquéia para a direita (seta preta).
Chaves: fissura horizontal.
*****
The Invasive Aspergillosis (IA) is rare and occurs mainly in immunocompromised hosts. Neutropenia and prolonged use of glucocorticoids are the most common predisposing factors. IA leads to death in 70-90 in immunocompromised leukemia or hematopoietic cell transplantation.
Diffuse bilateral alveolar opacities. Reduced volume of the right upper lobe, leading to shrinkage of the horizontal fissure up (white arrow) and tracheal deviation to the right (black arrow).

A tríade clássica descrita para Aspergilose Invasiva em pacientes neutropênicos é a febre, dor pleurítica e hemoptise. Tosse e dispneia também podem estar presentes.
Neste corte, consolidação no lobo superior direito com broncogramas aéreos no seu interior (seta amarela). Opacidades em vidro fosco (seta vermelha).
A tomografia de alta resolução (TCAR) na Aspergilose Invasiva tipicamente revela nódulos únicos ou múltiplos, com ou sem cavidade, consolidações segmentares, infiltrados peribrônquicos, com ou sem padrão de árvore em brotamento. Revisão assinalou de que pequenos nódulos (<1 cm) são mais comuns (43%), seguido pelas consolidações (26%), grandes nódulos (21%) e infiltrados peribrônquicos (9%).
Chaves: aerobroncograma.
*****
Consolidation in the right upper lobe with air bronchograms inside (yellow arrow). Ground-glass opacities (red arrow). In Invasive Aspergillosis can occur nodules (with or without cavitation), consolidations, peribronchovascular opacities and masses.
Fonte/source: M Horger et al. Eur J Radiol. 2005, 55 (3): 437.

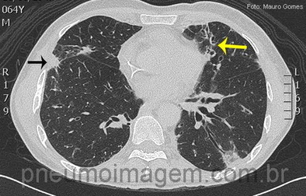
Opacidade com tendência à formação de nódulo (seta preta) e bronquiectasias (seta amarela). Nestes cortes não observamos o sinal do halo, característico de Aspergilose Invasiva.
A dosagem da galactomanana, polissacarídeo constituinte da parede celular do Aspergillus e liberado durante o crescimento das hifas, hoje é considerada diagnóstica para a doença. A detecção no soro ocorre antes da presença dos sinais e sintomas clínicos da AI. O teste da galactomanana realizado no LBA fornece sensibilidade adicional em relação à cultura. O FDA dos Estados Unidos considera o índice OD>0,5 como positivo para o teste da galactomanana tanto em soro como no LBA.
*****
Nodular opacity (black arrow) and bronchiectasis (yellow arrow). On these images is not seen the halo sign, characteristic of AI.
The dosage of galactomannan, a constituent polysaccharide of the cell wall of Aspergillus and released during the growth of hyphae is now considered diagnostic for the disease. Detection in the serum occurs prior to the appearance of clinical signs and symptoms of AI. The test performed in BAL galactomannan provides additional sensitivity compared to culture. The United States FDA considers the index OD > 0.5 as positive for the test galactomannan both serum and in BAL.
Fonte/source: D Haese J et al. J Clin Microbiol. 2012;50(4):1258.
DEIXE SEU COMENTÁRIO