DISSEMINAÇÃO DE METÁSTASES DE CÂNCER DE PULMÃO POR VIA AÉREA
Data de Publicação: 12/01/2015

O câncer de pulmão é o câncer mais comum e mais letal em todo o mundo. Seu prognóstico permanece pobre, com uma taxa de sobrevida em cinco anos de 6-18%. O adenocarcinoma superou o carcinoma espinocelular como o tipo histológico líder. A presença de metástases carrega o pior prognóstico no câncer de pulmão e é o mais importante fator na determinação do estadiamento e manejo da doença.
A evidência acumulada sugere que a propagação aerógena de metástases pulmonares existe e não é reconhecida. Recursos de imagem são úteis na diferenciação da possível propagação aerógena das metástases hematogênicas, linfáticas e dos tumores primários sincrônicos. A ocorrência de metástase aerógena intrapulmonar de câncer de pulmão tem estadiamento, manejo e implicações prognósticas. Recente artigo resumiu a literatura relevante sobre as metástases aerógenas e explica o mecanismo patogênico de sua propagação, além de apresentar as particularidades das imagens e as características patológicas.
Para as metástases aerógenas, especialmente no adenocarcinoma de pulmão, foi postulado que as células cancerosas crescem ao longo dos septos alveolares no local primário destacadas da membrana basal, distribuem-se através das vias aéreas e voltam a fixar e a crescer ao longo dos septos alveolares, longe do foco primário. Estudos de correlação radiológica e patológica usando tomografia computadorizada de tórax (TC) documentam a evolução radiológica do adenocarcinoma focal para doença multifocal do espaço aéreo e demonstram a citologia e a histologia que apóiam a propagação aerógena. Esse fenômeno foi descrito para o adenocarcinoma primário de pulmão, particularmente para os subtipos mucinoso invasivo, papilar e micropapilar.
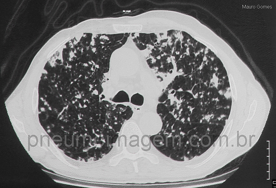
Entre os achados da TC que são sugestivos de propagação aerógena podemos encontrar nódulos centrolobulares especificamente persistentes e opacidades em ramificação (árvore em brotamento). Os nódulos tendem a ser agrupados e invariavelmente crescem nos controles seriados de imagens. Em alguns casos evoluem para doença confluente do espaço aéreo. Quando essas características são encontradas remotamente durante a evolução a partir de uma lesão pulmonar primária que provou ser um adenocarcinoma, e/ou em pacientes com história prévia de adenocarcinoma de pulmão tratado, a propagação aerógena intrapulmonar deve ser suspeitada. É importante ressaltar que as metástases aerógenas devem ser diferenciadas de múltiplas lesões síncrônicas no espectro do adenocarcinoma de pulmão.
Veja imagens de adenocarcinoma de pulmão no PneumoImagem, clique aqui.
FONTE: Anand Gaikwad et al. American Journal of Roentgenology. 2014; 203: W570-W582.