PESQUISA DE IMAGENS

 

Central de Downloads

Encontre em nossa área de downloads vários arquivos e PDF, PPT, WORD, entre outros. Todos os arquivos com relevância para sua pesquisa.

Sessão Retrô

Artigos que contam a história da pneumologia.

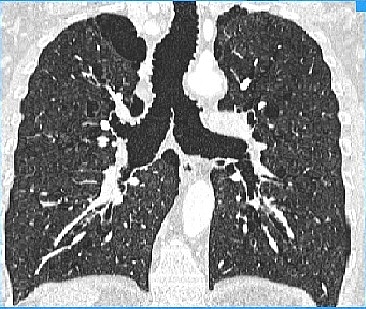
ESTUDO DO EFEITO DO CPAP NA SÍNDROME DE MOUNIER-KUHN: ENCAMINHE SEU PACIENTE.

Data de Publicação: 06/07/2017

ESTUDO DO EFEITO DO CPAP NA SÍNDROME DE MOUNIER-KUHN: ENCAMINHE SEU PACIENTE.A Divisão de Pneumologia do InCor HCFMUSP está realizando um estudo sobre a presença de colapso da via aérea em portadores de Síndrome de Mounier-Kuhn. A proposta é diagnosticar e registrar o colapso por broncoscopia e avaliar o efeito do CPAP sobre o mesmo. Para isso o grupo está recrutando pacientes com a síndrome para inserir no projeto. Caso você acompanhe algum paciente com Síndrome de Mounier-Kuhn e quiser colaborar encaminhando esse paciente, entre em contato com a Dra. Evelise Lima pelo email projetosmk2017@gmail.com.

Para ler mais sobre a Síndrome de Mounier-Kuhn no PneumoImagem, clique aqui.

Compartilhe: