Encontre em nossa área de downloads vários arquivos e PDF, PPT, WORD, entre outros. Todos os arquivos com relevância para sua pesquisa.
Sessão Retrô
Artigos que contam a história da pneumologia.
NOVA DROGA APROVADA PELO SUS PARA TRATAR LINFANGIOLEIOMIOMATOSE
Data de Publicação: 30/09/2020
O medicamento Sirolimo teve seu uso ampliado para o tratamento de indivíduos adultos com linfangioleiomiomatose (LAM) no Sistema Único de Saúde – SUS.
Inicialmente indicado para a prevenção da rejeição de órgãos em pacientes transplantados renais em combinação com a ciclosporina e corticosteroides, o sirolimo agora também está indicado para tratamento de pacientes maiores de 18 anos com LAM.
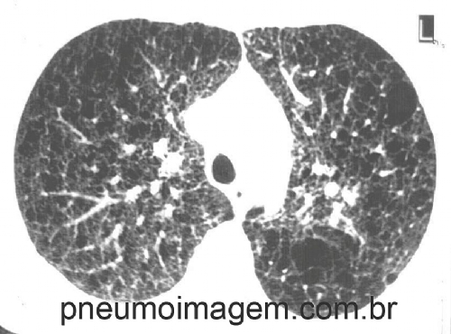
A LAM é uma doença rara e progressiva que basicamente afeta mulheres jovens no período fértil de sua vida. A doença é caracterizada pela hiperproliferação anormal de células de músculo liso nos pulmões, associada com a formação de cistos parenquimatosos difusos e dispneia.
O pneumoimagem.com.br é destinado à informação e educação médica e dirigido exclusivamente aos médicos, profissionais de saúde e estudantes das áreas afins.
Ao continuar navegando você estará aceitando os Termos de Utilização do site e todas as regras nele contidas.