PESQUISA DE IMAGENS

 

Central de Downloads

Encontre em nossa área de downloads vários arquivos e PDF, PPT, WORD, entre outros. Todos os arquivos com relevância para sua pesquisa.

Sessão Retrô

Artigos que contam a história da pneumologia.

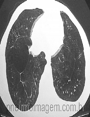
REVISÃO SOBRE DEFICIÊNCIA DE ALFA-1 ANTITRIPSINA

Data de Publicação: 24/04/2014

REVISÃO SOBRE DEFICIÊNCIA DE ALFA-1 ANTITRIPSINAA deficiência de alfa-1 antitripsina (A1AT) está relacionada ao desenvolvimento do enfisema pulmonar. Mesmo indivíduos não fumantes, mas portadores desta alteração genética, podem desenvolver a doença. Estima-se que existem entre 200-500 casos de deficiência de A1AT por milhão de pessoas, sendo que muitos são assintomáticos e nunca irão desenvolver enfisema significativo.

O tratamento habitual da deficiência de A1AT segue as recomendações para a DPOC, além da possibilidade de utilização de seis preparações comerciais de substituição de A1AT intravenosas, adminstradas semanalmente. Há uma excelente revisão sobre o assunto em Am J Respir Crit Care Med 2012; 185:246-259. Para acessar o artigo, clique aqui.

Compartilhe: