
A Fibrose Cística (ou Mucoviscidose) é uma doença genética rara associada a complicações em vários órgãos. O pulmão é o mais afetado e é o responsável pelo óbito precoce em mais de 80% dos casos. O pâncreas também é afetado em mais de 70% dos pacientes e leva às manifestações clínicas da insuficiência pancreática exócrina, com esteatorreia e desnutrição. Fígado e seios da face também podem estar envolvidos. Na Fibrose Cística (FC), as bronquectasias costumam ser centrais e predominar nos lobos superiores.
*****
Cystic Fibrosis (or Mucoviscidosis) is a rare genetic disease associated with complications in various organs. The lung is the most affected and is responsible for early death in more than 80% of cases. The pancreas is also affected in more than 70% of patients and leads to the clinical manifestations of exocrine pancreatic insufficiency, with steatorrhea and malnutrition. Liver and sinuses may also be involved. In Cystic Fibrosis (CF), bronchiectasis is usually central and predominates in the upper lobes.

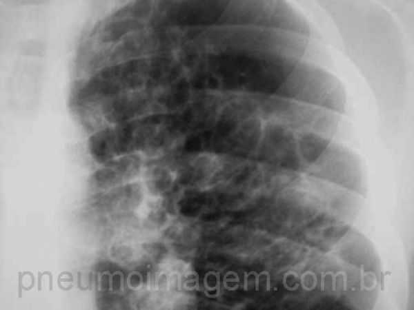
Detalhe da radiografia em PA ilustrada na imagem anterior e que demonstra as dilatações brônquicas no lobo superior esquerdo.
*****
Detail of the radiography in PA shown in the previous image and demonstrating the bronchial dilatations in the upper left lobe.

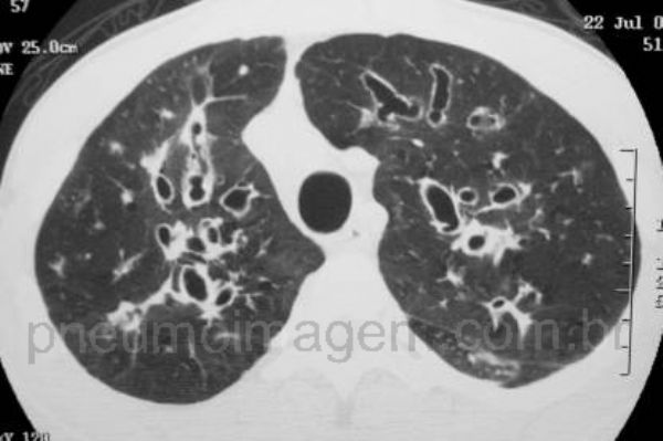
Antigamente era considerada uma doença exclusivamente da infância, uma vez que os pacientes dificilmente atingiam a vida adulta. Com os novos tratamentos, a expectativa de vida de um paciente que nasce com FC está ultrapassando os 40 anos. Formas mais leves da doença existem e a doença pode se manifestar algumas vezes de forma tardia. O caso em questão é de um rapaz cujo diagnóstico da FC ocorreu somente após os 20 anos de idade. Neste corte tomográfico observam-se as bronquiectasias centrais predominando nos lobos superiores.
*****
Previously, CF was considered an exclusively childhood disease, since patients hardly reached adulthood. With the new treatments, the life expectancy of a patient born with CF is over 40 years old. Lighter forms of the disease exist and the disease may sometimes manifest late. The case in question is of a man whose diagnosis of the CF occurred only after the 20 years of age. In this CT slice we can observe the central bronchiectasis predominating in the upper lobes.
As lesões na FC não se limitam apenas aos lobos superiores, mas estendem-se também aos demais lobos, como pode-se observar neste corte na altura da carina.
*****
The lesions in CF are not limited only to the upper lobes, but also extend to the other lobes, as can be seen in this CT slice at the carina level.
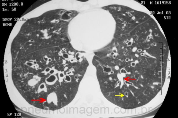
Neste paciente, as lesões alcançam também os lobos inferiores. Além das bronquiectasias centrais, pode-se observar o sinal do anel de pérola (muitas vezes chamado também de anel de sinete) - seta amarela -, e áreas de impacção mucóide (setas vermelhas), o conhecido sinal de dedo de luva.
*****
In this patient, the lesions also reach the lower lobes. In addition to the central bronchiectasis, one can observe the sign of the pearl ring (often also called a signet ring) - yellow arrow -, and areas of mucoid impaction (red arrows), the well-known glove finger sign.
2 COMENTÁRIOS
JORGE EDUARDO MANHÃES DE CARVALHO
Médico(a)
Niterói - Rio de Janeiro - 05/09/2022 16:43Abdias B. de Mello Neto
Pneumologista
Santa Maria - Rio Grande do Sul - 01/05/2012 11:51DEIXE SEU COMENTÁRIO