Data de Publicação: 08/07/2020

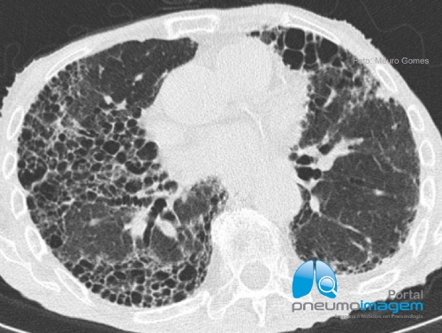
Foi aprovado no Brasil no final do mês de junho o uso do nintedanibe para o tratamento das doenças pulmonares intersticiais (DPIs) crônicas com fenótipo fibrosante progressivo.
Isso significa que os pacientes com doenças que apresentam caracteristicamente fibrose pulmonar progressiva, piora da função pulmonar, dos sintomas e da qualidade de vida, com mortalidade precoce podem agora utilizar a droga para o seu tratamento, independente do diagnóstico de Fibrose Pulmonar Idiopática (FPI).
O nintedanibe é um medicamento já aprovado no país para o tratamento e retardo da progressão da FPI, para o tratamento da doença pulmonar intersticial associada à esclerose sistêmica e, em combinação com o docetaxel, para o tratamento de pacientes com adenocarcinoma de pulmão localmente avançado, metastático ou recorrente, após a primeira linha de quimioterapia à base de platina.
Nintedanibe é um inibidor intracelular de receptores tirosina-quinase que atua no receptor do fator de crescimento de fibroblastos (FGFR), fator de crescimento endotelial vascular (VEGFR), fator de crescimento derivado de plaquetas (PDGFR), quinases da família Src (Src, Lck e Lyn), e receptor do fator estimulador de colônia 1.
Para fazer o download das Diretrizes Brasileiras para o Tratamentos da FPI, clique aqui.
(MG)