PESQUISA DE IMAGENS

 

Central de Downloads

Encontre em nossa área de downloads vários arquivos e PDF, PPT, WORD, entre outros. Todos os arquivos com relevância para sua pesquisa.

Sessão Retrô

Artigos que contam a história da pneumologia.

LOBECTOMIA E RESSECÇÃO SUBLOBAR PRODUZEM RESULTADOS SEMELHANTES EM PACIENTES COM CÂNCER DE PULMÃO NÃO PEQUENAS CÉLULAS EM ESTÁDIO INCIAL

O aumento da detecção de câncer de pulmão de células não pequenas (NSCLC) periférico de pequeno porte renovou o interesse na ressecção sublobar em vez da lobectomia. ...


TESTES RÁPIDOS DE DIAGNÓSTICO DE INFLUENZA REDUZEM A PRESCRIÇÃO DE ANTIBIÓTICOS EM PACIENTES COM INFECÇÕES RESPIRATÓRIAS AGUDAS

Estudo mostrou que o uso de testes rápidos de diagnóstico de Influenza para pacientes com infecções respiratórias agudas pode levar os médicos a prescrever menos antibióticos desnece...


NOVAS DIRETRIZES EUROPEIAS PARA HIPERTENSÃO PULMONAR. LEIA O RESUMO E FAÇA O DOWNLOAD.

A hipertensão pulmonar (HP) é um distúrbio fisiopatológico que pode envolver múltiplas condições clínicas e estar associada a uma variedade de doenças cardiovasculares ...


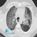
ALTERAÇÕES TOMOGRÁFICAS PERSISTEM 2 ANOS APÓS COVID GRAVE

Dois anos após a hospitalização por COVID-19 grave, mais de um terço de 144 pacientes dos primeiros dias da pandemia apresentava anormalidades pulmonares persistentes em tomografias computadorizadas do t...


MENOR TEMPO DE TRATAMENTO DA TUBERCULOSE COM BEDAQUILINA E LINEZOLIDA FOI NÃO INFERIOR AO TRATAMENTO PADRÃO

A tuberculose é geralmente tratada com um regime à base de rifampicina por seis meses. O estudo TRUNCATE-TB demonstrou que uma estratégia de tratamento de tuberculose (TB) de 8 semanas, onde a terapia adicional...


USAR 3 OU MAIS FRASCOS/ANO DE BRONCODILATADOR DE RESGATE ASSOCIA-SE A MAIOR RISCO DE CRISES DE ASMA EM CRIANÇAS

Em adultos e adolescentes com asma, o uso de ≥3 frascos de β2-agonista de ação curta (SABA) por ano está associado a um risco aumentado de exacerbação. O estudo SABA use IN Asthma (SABINA)...