PESQUISA DE IMAGENS

 

Central de Downloads

Encontre em nossa área de downloads vários arquivos e PDF, PPT, WORD, entre outros. Todos os arquivos com relevância para sua pesquisa.

Sessão Retrô

Artigos que contam a história da pneumologia.

IMAGENS

 

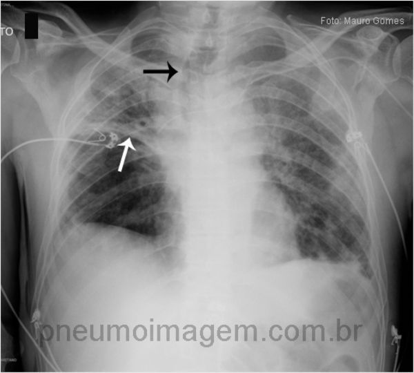
ASPERGILOSE INVASIVA

A Aspergilose Invasiva (AI) é rara e ocorre principalmente em hospedeiros imunocomprometidos. Neutropenia e uso prolongado de glicocorticoides são os fatores predisponentes mais comuns. AI leva ao óbito em 70-90 nos imun...

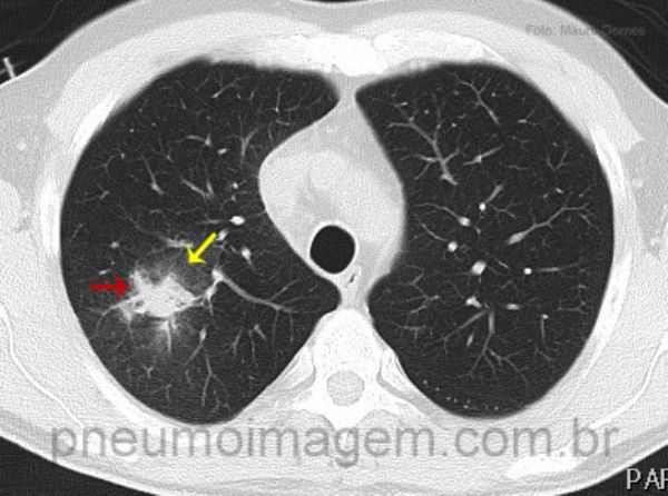
ASPERGILOSE INVASIVA - 2

A Aspergilose Invasiva (AI) é rara e ocorre principalmente em hospedeiros imunocomprometidos. Neutropenia e uso prolongado de glicocorticoides são os fatores predisponentes mais comuns. AI leva ao óbito em 70-90 nos imun...