PESQUISA DE IMAGENS

 

Central de Downloads

Encontre em nossa área de downloads vários arquivos e PDF, PPT, WORD, entre outros. Todos os arquivos com relevância para sua pesquisa.

Sessão Retrô

Artigos que contam a história da pneumologia.

DESTAQUES DO ERS2016: COMO CARACTERIZAR A SÍNDROME DE ASSOCIAÇÃO ASMA+DPOC (ACOS)?

A síndrome de overlap asma+DPOC, atualmente denominada ACOS, representa pacientes com um significativo componente asmático associado a uma limitação ao fluxo aéreo relacionada ao tabagismo, envelhecimento ou a outros fatores de risco. Estim...


DESTAQUES DO ERS2016: NOVAS DIRETRIZES PARA O MANEJO DA TUBERCULOSE

Sessão do ERS2016 abordou a importância da tuberculose (TB) em todo mundo e os ambiciosos planos da Organização Mundial da Saúde de acabar com a epidemia global da doença em todo o mundo. Os objetivos são os de reduzir as mortes por TB em 9...


DESTAQUES DO ERS2016: MICROBIOMA PULMONAR

Até há algum tempo acreditava-se que o pulmão era um órgão livre da colonização bacteriana. Atualmente, mais de 25 estudos, que envolveram mais de 700 indivíduos, detectaram material de DNA bacteriano em pulmões saudáveis, indicando que uma...


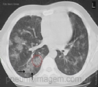
DESTAQUES DO ERS2016: HEMORRAGIA ALVEOLAR DIFUSA (HAD)

A HAD é uma doença rara, mas muito grave. Os achados típicos à TC de tórax são opacidades bilaterais e difusas em vidro fosco, frequentemente dos ápices até os ângulos costofrênicos. A terça parte dos pacientes não tem hemoptise à apresenta...


DESTAQUES DO ERS2016: DIAGNÓSTICO DA FIBROSE PULMONAR IDIOPÁTICA

Dados americanos do Nationwide Inpatient Sample demonstraram que a mortalidade hospitalar em biópsias pulmonares foi de 1,7% em pacientes eletivos e 16% para pacientes com procedimentos não eletivos. Sexo masculino, idosos, doenças associad...


DESTAQUES DO ERS2016: FIBROSE PULMONAR IDIOPÁTICA ASSOCIADA AO ENFISEMA PULMONAR

A presença de mais de 15% de enfisema na TC de tórax impacta a variação da CVF no ano seguinte e isso pode ser um critério diagnóstico para a síndrome de associação entre FPI e enfisema. Múltiplos cistos grandes, diferentes do padrão em fav...