PESQUISA DE IMAGENS

 

Central de Downloads

Encontre em nossa área de downloads vários arquivos e PDF, PPT, WORD, entre outros. Todos os arquivos com relevância para sua pesquisa.

Sessão Retrô

Artigos que contam a história da pneumologia.

REVISÃO SOBRE DEFICIÊNCIA DE ALFA-1 ANTITRIPSINA

A deficiência de alfa-1 antitripsina (A1AT) está relacionada ao desenvolvimento do enfisema pulmonar. Mesmo indivíduos não fumantes, mas portadores desta alteração genética, podem desenvolver a doença. Estima-se que existem entre 200-500 ca...


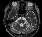
APROVEITE A PÁSCOA E APRENDA SOBRE ESTE SINAL RADIOLÓGICO DO COELHO!

Nosso portal destina-se a estudar as imagens radiológicas em Pneumologia, mas, nesta data em que se comemora a Páscoa, não poderíamos deixar passar em branco este interessante sinal radiológico em neurologia que lembra um coelho. Hiperde...


VEGETARIANOS POSSUEM MAIS ALERGIAS E OUTROS PROBLEMAS DE SAÚDE

Estudos de base populacional têm mostrado consistentemente que a nossa dieta tem uma influência sobre a saúde. O objetivo deste estudo austríaco e não patrocinado foi analisar as diferenças entre os vários grupos de hábitos alimentares em t...


PESQUISA SOBRE O ESTADO EMOCIONAL DOS FUMANTES

A USP de Ribeirão Preto está desenvolvendo um estudo para elaborar uma escala que visa aferir as características emocionais dos fumantes. A pesquisa será feita exclusivamente pela internet e qualquer fumante pode participar uma única vez. ...


MÉDICO PNEUMOLOGISTA COORDENA TREINAMENTO DE RESGATE DE VÍTIMAS PELA POLÍCIA MILITAR DE S. PAULO

Médicos da Polícia Militar de São Paulo participaram de simulações que vão ajudar no resgate de vítimas em situações de perigo ou catástrofes. A coordenação do trabalho é do coronel médico pneumologista Dr. Roberto Rodrigues Júnior. Acompan...


24 DE MARÇO, DIA MUNDIAL CONTRA A TUBERCULOSE

A Organização Mundial da Saúde (OMS) e a parceira da OMS - a organização Stop TB – estão promovendo o Dia Mundial da Tuberculose em 24 de março. Este evento anual comemora a data que, em 1882, o Dr. Robert Koch anunciou a descoberta do Myco...