PESQUISA DE IMAGENS

 

Central de Downloads

Encontre em nossa área de downloads vários arquivos e PDF, PPT, WORD, entre outros. Todos os arquivos com relevância para sua pesquisa.

Sessão Retrô

Artigos que contam a história da pneumologia.

CASO CLÍNICO #4

Paciente do sexo masculino, 69 anos, assintomático, encaminhado devido ao achado tomográfico. Nega tabagismo. Refere tratamento para tuberculose 50 anos atrás. Ao exame apresenta deformidade torácica, escoliose, com ausculta pulmonar com MV reduzido em terço s...

CASO CLÍNICO #3

Homem, 28 anos, apresenta-se com dispneia desde a infância, mas que se acentuou no último ano. Apresenta crises de chiado com tosse e expectoração purulenta eventualmente. Ao exame, emagrecido, dispneico, com MV diminuído globalmente e sibilos expiratórios dif...


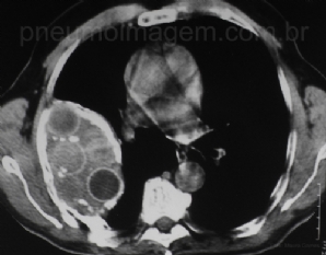
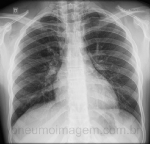
CASO CLÍNICO #2

Jovem do sexo masculino, 16 anos de idade, asmático leve sem tratamento regular, apresenta-se com intensa dispneia e dor torácica que se iniciou enquanto disputava uma partida de futebol. Qual o diagnóstico? Observe a imagem e deixe os seus comentários abaixo....


CASO CLÍNICO #1

Paciente do sexo masculino, 56 anos, apresenta dispneia há 10 anos, progressiva, atualmente aos pequenos esforços. Ex-tabagista 20 anos/maço, há 20 anos sem fumar. Hipertenso em uso de amlodipino 5mg/dia e losartana 50mg/dia. Ao exame clínico apresenta-se o...