PESQUISA DE IMAGENS

 

Central de Downloads

Encontre em nossa área de downloads vários arquivos e PDF, PPT, WORD, entre outros. Todos os arquivos com relevância para sua pesquisa.

Sessão Retrô

Artigos que contam a história da pneumologia.

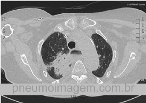
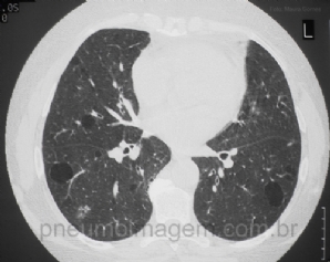
CASO CLÍNICO #10

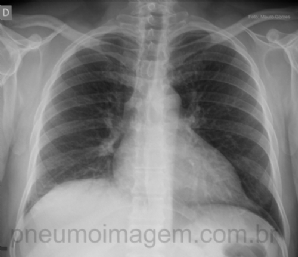
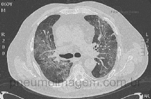
Paciente do sexo masculino, 60 anos, com histórico de quadro gripal há 4 dias associado à febre. Há um dia com dispneia, tosse produtiva, deu entrada no Serviço de Emergência em insuficiência respiratória e importante dessaturação. Nega antecedentes pulmonares...

CASO CLÍNICO #9

Paciente do sexo feminino, 87 anos, apresenta tosse crônica, síndrome consumptiva e queda do estado geral. Nega febre e dispneia. Qual a sua hipótese diagnóstica? Deixe os seus comentários abaixo! ***** Female patient, 87 years old, has chronic cough, wa...


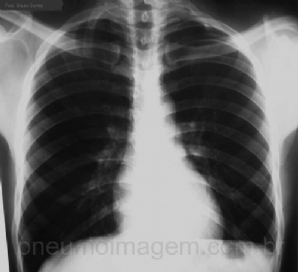
CASO CLÍNICO #8

Paciente jovem, apresenta-se com tosse, febre alta (39 C) e dor torácica com início há 2 dias. Alguns raros EC na base pulmonar direita. Olhe atentamente essa radiografia de tórax e diga qual seria a sua conduta. Você trataria como pneumonia? Deixe seu comentá...


CASO CLÍNICO #7

Paciente do sexo feminino, 30 anos, que apresenta dispneia aos esforços e poucos sintomas gerais, além da sensação olho seco. Qual o diagnóstico mais provável? Deixe os seus comentários abaixo! ***** Female patient, 30, who has dyspnea on exertion and a few ...


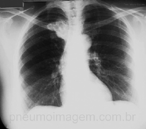
CASO CLÍNICO #6

Observe essa radiografia com essa massa paratraqueal à direita. Com base somente na incidência em PA, onde se localiza essa lesão? a) Pulmão b) Mediastino c) Caixa torácica Deixe seus comentários abaixo! ************ Please note that right paratrac...


CASO CLÍNICO #5

Paciente do sexo masculino que apresenta-se com dor intermitente e relacionada aos movimentos no membro superior direito, parestesia e diminuição de força muscular. Olhe atentamente a sua radiografia de tórax e deixe os seus comentários abaixo. Male patient...