PESQUISA DE IMAGENS

 

Central de Downloads

Encontre em nossa área de downloads vários arquivos e PDF, PPT, WORD, entre outros. Todos os arquivos com relevância para sua pesquisa.

Sessão Retrô

Artigos que contam a história da pneumologia.

AMERICAN COLLEGE OF PHYSICIANS RECOMENDA AOS MÉDICOS NÃO ACEITAR SOLICITAÇÕES DE AMIZADE DE PACIENTES PELAS REDES SOCIAIS.

Os médicos devem evitar fazer ou aceitar como "amigo" pedidos oriundos de pacientes antigos ou atuais por meio das redes sociais, segundo nova declaração emitida pelo American College of Physicians (ACP), em conjunto com a Federation of Sta...


ACUPUNTURA É EFETIVA PARA A CESSAÇÃO DO TABAGISMO?

Alternativas às terapias farmacológicas para o tratamento do tabagismo, como a acupuntura, acupressão e estimulação elétrica, recebem pouca atenção em estudos clínicos, mas têm sido amplamente populares para as tentativas de cessação tabági...


DEVE-SE USAR OU NÃO CORTICÓIDE INALADO ASSOCIADO AO BRONCODILATADOR EM DPOC?

Para pacientes com DPOC grave, entre as opções de tratamento recomendadas pela GOLD incluem um betagonista de longa ação (LABA) sozinho ou combinado com um corticosteróide inalado (ICS). Na prática tanto brasileira quanto americana, uma com...


METANÁLISE MOSTROU REDUÇÃO DA MORTALIDADE COM A ASSOCIAÇÃO DE CORTICÓIDE AO TRATAMENTO DA TUBERCULOSE

Deve-se ter muito cuidado na avaliação desta metanálise de inglesa publicada na última semana que mostrou redução da mortalidade da tuberculose com a associação de corticóide sistêmico ao tratamento. O estudo apontou que corticosteróide...


ESTUDO HOLANDÊS NÃO MOSTROU BENEFÍCIO NO RASTREAMENTO ANUAL POR TOMOGRAFIA PARA CÃNCER DE PULMÃO.

Os resultados dos 5 anos do estudo holandês Screening Trial Lung Cancer (DLCST) não mostraram benefício da mortalidade no rastreio anual para câncer de pulmão com tomografia computadorizada de tórax (TC). Houve a identificação de mais cânce...


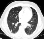
A MAIORIA DOS RADIOLOGISTAS NÃO VIU O GORILA NESTA TOMOGRAFIA

O prof. Trafton Drew, da Harvard Medical School, começou a visitar as "salas de leitura" onde radiologistas fazem seu trabalho. Durante horas ele os observou, no temor de que eles poderiam facilmente ver nas imagens precocemente aquelas coi...