PESQUISA DE IMAGENS

 

Central de Downloads

Encontre em nossa área de downloads vários arquivos e PDF, PPT, WORD, entre outros. Todos os arquivos com relevância para sua pesquisa.

Sessão Retrô

Artigos que contam a história da pneumologia.

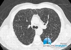
CASO CLÍNICO #58

Homem de 83 anos apresenta-se com cansaço e tosse seca persistente há 2 anos. Perdeu 5kg nos últimos 10 meses. Nega tabagismo. Qual o diagnóstico? Deixe seus comentários abaixo. *** 83-year-old man presents with tiredness and persistent dry cough for 2 y...

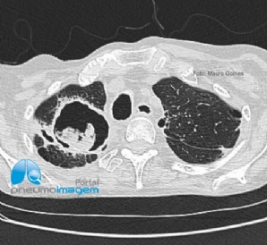
CASO CLÍNICO #57

Paciente masculino de 64 anos, tabagista com dispneia, tosse persistente e a seguinte imagem radiológica. Qual o nome desse sinal e o provável diagnóstico? Deixe seus comentários abaixo! *** A 64-year-old male smoker with dyspnea, persistent cough and the fo...


CASO CLÍNICO #56

Homem de 48 anos, tabagista e que se apresenta com dispneia. Qual o diagnóstico? Deixe seus comentários abaixo. *** A 48-year-old male smoker with dyspnoea. What is the diagnosis? Write your comments below.


CASO CLÍNICO #55

Homem de 52 anos portador de DPOC e com inapetência, fadiga, tosse e perda de peso nos últimos 4 meses. Antecedente de tratamento de Mycobacterium kansasii por 18 meses há 2 anos. Qual o diagnóstico? Deixe seus comentários abaixo. *** A 52-year-old man with ...


CASO CLÍNICO #54

Homem de 72 anos de idade com queixa de dispneia intensa, mas com espirometria normal. Qual o diagnóstico? Deixe seus comentários abaixo. ***** Man 72 years of age with severe dyspnea, but with normal spirometry. What is the diagnosis? Write your comment...


CASO CLÍNICO #53

Paciente do sexo feminino, 74 anos, asmática sob o uso de formoterol 12mcg/budesonida 400mcg – 2x/dia, apresenta-se com dor retroesternal, odinofagia, náuseas e inapetência. O exame endoscópico mostrou essa imagem. Qual o provável diagnóstico? Deixe seus comen...