PESQUISA DE IMAGENS

 

Central de Downloads

Encontre em nossa área de downloads vários arquivos e PDF, PPT, WORD, entre outros. Todos os arquivos com relevância para sua pesquisa.

Sessão Retrô

Artigos que contam a história da pneumologia.

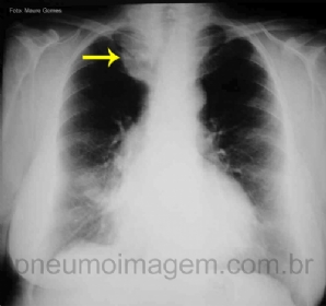
CASO CLÍNICO #40

O que a seta aponta nessa radiografia? Deixe os seus comentários abaixo! ***** What the arrow points in this chest X? Write your comments below.

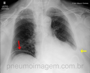
CASO CLÍNICO #39

O que as setas apontam nessa radiografia? Deixe os seus comentários abaixo! ***** What the arrows point in this chest X? Give your comments below!


CASO CLÍNICO #38

Menino adolescente de 12 anos de idade com opacidade nodular em lobo inferior esquerdo. Apresentava exposição a pombos no pátio do colégio em que estudava. Qual o diagnóstico mais provável? Deixe os seus comentários abaixo. ***** Teen boy of 12 years old...


CASO CLÍNICO #37

Paciente se apresenta com febre e expectoração abundante. Qual o diagnóstico mais provável? Deixe os seus comentários abaixo. ***** Patient presents with fever and abundant expectoration. What is the most likely diagnosis? Give your comments below.


CASO CLÍNICO #36

A que tipo de tumor primário pertencem essas metástases no pulmão? Preste atenção às setas e deixe os seus comentários logo abaixo. ***** What is the primary tumor belonging to these lung metastases? Pay attention to the arrows and leave your comments be...


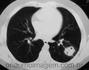
CASO CLÍNICO #35

Você sabe o nome desse exame, sua indicação e o que as setas estão apontando? Deixe os seus comentários abaixo! ***** You know the name of this radiological examination, indications and that the arrows are pointing? Give your comments below!