PESQUISA DE IMAGENS

 

Central de Downloads

Encontre em nossa área de downloads vários arquivos e PDF, PPT, WORD, entre outros. Todos os arquivos com relevância para sua pesquisa.

Sessão Retrô

Artigos que contam a história da pneumologia.

CASO CLÍNICO #22

Qual o nome desse sinal e o que ele significa? Deixe seus comentários abaixo. *** What is the name of the sign and what it means? Leave your comment below.

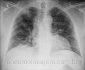
CASO CLÍNICO #21

Paciente do sexo masculino, 48 anos de idade, obeso, com quadro de dispneia, tosse e febre acompanhando episódio gripal. Nega tabagismo. Em 48h houve evolução para insuficiência respiratória. Observe a radiografia do caso, exercite seu raciocínio diagnóstico e...


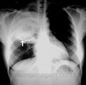
CASO CLÍNICO #20

O caso desse mês é uma imagem curiosa. O que a seta aponta? Deixe seus comentários abaixo. ***** The case of this month is a curious image. What the arrow points? Write your comment below.


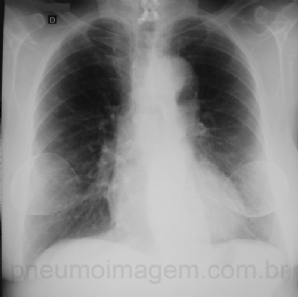
CASO CLÍNICO #19

Paciente com tosse persistente há um mês, febre e sudorese noturnas e perda do apetite. Qual o diagnóstico? Deixe seus comentários abaixo. ***** Patient with persistent cough for a month, fever and night sweats and loss of appetite. What is the diagnosis...


CASO CLÍNICO #18

Em avaliação de rotina foi encontrada esta alteração radiológica. Qual o seu diagnóstico? Deixe seus comentários abaixo. ***** This radiological alteration was found in a routine evaluation. What is your diagnosis? Write your comment below.


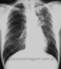
CASO CLÍNICO #17

Paciente do sexo feminino, 48 anos, tabagista, etilista crônico, apresenta-se com tosse com expectoração avermelhada, febre e dor torácica há 4 dias. Observe a radiografia de entrada, faça a sua hipótese diagnóstica e deixe seus comentários abaixo. *** F...