PESQUISA DE IMAGENS

 

Central de Downloads

Encontre em nossa área de downloads vários arquivos e PDF, PPT, WORD, entre outros. Todos os arquivos com relevância para sua pesquisa.

Sessão Retrô

Artigos que contam a história da pneumologia.

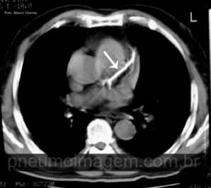
CASO CLÍNICO #28

Aproveitando o clima natalino, o caso desse mês mostra um sinal tomográfico interessante. Qual o nome desse sinal e o que ele significa? Deixe os seus comentários abaixo. ***** Enjoying the Christmas season, the case of this month shows an interesting to...

CASO CLÍNICO #27

Abrimos espaço para o caso desse mês para o nosso seguidor do Instagram Ivan Michelle (@IVAN3MICHELLE), que nos enviou essa imagem interessante e pediu a opinião dos nossos amigos. Paciente do sexo feminino, 52 anos. Qual o diagnóstico mais provável? Deixe os ...


CASO CLÍNICO #26

Paciente com febre, emagrecimento e hemoptoicos. Qual o diagnóstico mais provável? Deixe os seus comentários abaixo. ***** Patient with fever, weight loss and hemoptysis. What is the most probable diagnosis? Write your comments below.


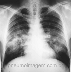
CASO CLÍNICO #25

O que é essa imagem e o que ela significa? Deixe seus comentários abaixo. ***** What is this image and what it means? Write your comments below.


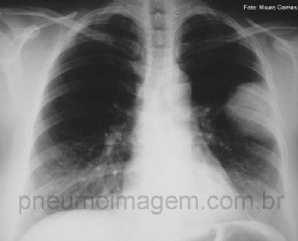
CASO CLÍNICO #24

Essa imagem é característica de uma doença fúngica. Qual o nome desse sinal e a qual doença ele se relaciona? ***** This signal is characteristic of a fungal disease. What is the name of the sign and the disease which it relates?


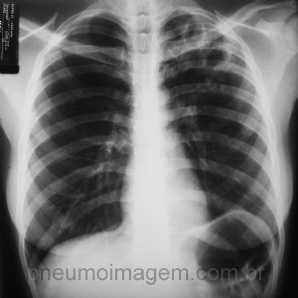
CASO CLÍNICO #23

Homem, 46 anos, apresenta-se com tosse seca há 3 semanas acompanhada por dispneia leve aos esforços. Nega febre e perda de peso. Tabagista por 20 anos/maço. Observe atentamente a radiografia de tórax, faça suas hipóteses diagnósticas e deixe seus comentários. ...