PESQUISA DE IMAGENS

 

Central de Downloads

Encontre em nossa área de downloads vários arquivos e PDF, PPT, WORD, entre outros. Todos os arquivos com relevância para sua pesquisa.

Sessão Retrô

Artigos que contam a história da pneumologia.

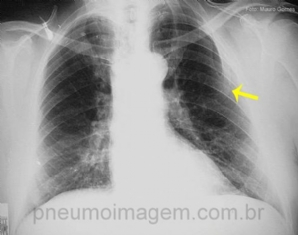
CASO CLÍNICO #34

Paciente se apresenta com dispneia. Você acha que a lesão apontada pela seta é a causa do sintoma? Deixe seus comentários abaixo. ***** Patient has dyspnea. Do you think the lesion of the arrow is the cause of the symptom? Write your comments below.

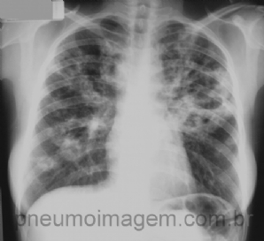
CASO CLÍNICO #33

Nem tudo é o que parece ser. Muitas vezes a tuberculose não aparece sozinha e, sim, associada a outras doenças, como neste caso. Qual a sua hipótese para a imagem? Deixe os seus comentários abaixo. ***** Not everything is what seems. Many times TB is not an ...


CASO CLÍNICO #32

O que a seta aponta nessa radiografia? Deixe os seus comentários abaixo. ***** What the arrow points in this radiograph? Give your comments below.


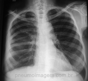
CASO CLÍNICO #31

Qual o nome desse sinal e o mais provável diagnóstico a ele relacionado? Deixe os seus comentários abaixo. ***** What is the name of the sign and the most likely diagnosis related to it? Give your comments below.


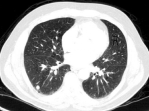
CASO CLÍNICO #30

Na investigação de nódulos pulmonares, 83% dos radiologistas erraram a interpretação dessa tomografia. O que você vê nesse corte tomográfico? Escreva abaixo sua interpretação. ***** In the investigation of pulmonary nodules, 83% of radiologists were wron...


CASO CLÍNICO #29

Mulher com câncer de mama foi submetida a tratamento por radioterapia e apresenta dor torácica. Qual o diagnóstico mais provável? Deixe os seus comentários abaixo. ***** Woman with breast cancer underwent treatment by radiotherapy and presents chest pain...