PESQUISA DE IMAGENS

 

Central de Downloads

Encontre em nossa área de downloads vários arquivos e PDF, PPT, WORD, entre outros. Todos os arquivos com relevância para sua pesquisa.

Sessão Retrô

Artigos que contam a história da pneumologia.

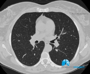
CASO CLÍNICO #46

Paciente tabagista, oligossintomático e cuja TCAR de tórax apresenta essas alterações. Qual o diagnóstico mais provável? Deixe os seus comentários abaixo. ***** A smoker, oligosymptomatic patient whose chest HRCT shows these changes. What is the most likely ...

CASO CLÍNICO #45

Jovem do sexo feminino que apresentou hemoptise após saltar de bung jumpee. Qual o seu diagnóstico? Deixe os seus comentários abaixo! ***** Young female who presented hemoptysis after jumping from bung jumpee. What is your diagnosis? Give your comments below...


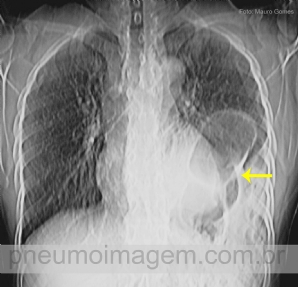
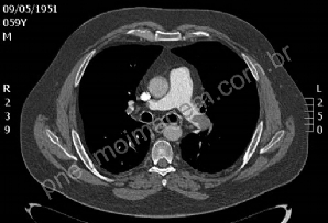
CASO CLÍNICO #44

Qual o principal diagnóstico ao se encontrar essa imagem em uma TC de tórax? Deixe os seus comentários abaixo! ***** What is the main diagnosis when you find this image on a chest CT scan? Give your comments below!


CASO CLÍNICO #43

Esse sinal tomográfico está associado a uma grave complicação em imunocomprometidos. Qual o nome do sinal e a qual doença ele se relaciona? Deixe os seus comentários abaixo! ***** This tomographic signal is associated with a serious complication in immunocom...


CASO CLÍNICO #42

A imagem não está tão nítida pois foi extraída de um corte de tomografia, mas o caso é bem interessante. O que a seta aponta nesse corte? Deixe os seus comentários abaixo! ***** The image is not so clear because it was extracted from a CT scan, but the c...


CASO CLÍNICO #41

Paciente tabagista com intensa dor no ombro direito e fraqueza muscular. Qual o diagnóstico? Deixe os seus comentários abaixo! ***** Smoking patient with intense right shoulder pain and muscle weakness. What is the diagnosis? Give your comments below!