PESQUISA DE IMAGENS

 

Central de Downloads

Encontre em nossa área de downloads vários arquivos e PDF, PPT, WORD, entre outros. Todos os arquivos com relevância para sua pesquisa.

Sessão Retrô

Artigos que contam a história da pneumologia.

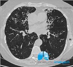
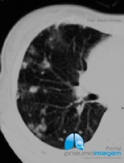
CASO CLÍNICO #52

Paciente do sexo feminino, 46 anos, submetida a transplante de medula óssea há 2 meses, apresenta-se com dispneia, tosse seca e dessaturação. Qual o provável diagnóstico? Deixe seus comentários abaixo! ***** A 46-year-old female patient who underwent bone ma...

CASO CLÍNICO #51

Paciente do sexo feminino, 64 anos, com dispneia, tosse seca e deformidade articular nas mãos e punhos. Qual o provável diagnóstico? Deixe seus comentários abaixo. ***** A 64-year-old female patient with dyspnea, dry cough, and joint deformity in the hands a...


CASO CLÍNICO #50

Você conhece o nome desse sinal e o que ele significa? Deixe seus comentários abaixo! ***** Do you know this sign and what it means? Write your comment below!


CASO CLÍNICO #49

Mulher, 65 anos, asmática grave desde a infância e com exacerbações frequentes. Dosagem de IgE 1212 UI. Qual o diagnóstico mais provável? Deixe os seus comentários abaixo. Obs: nos stories do Instagram e nos destaques do Instagram você pode ver o exame tomogr...


CASO CLÍNICO #48

Essa é a principal complicação cardiológica de uma importante doença infectocontagiosa no Brasil. Você sabe qual é essa doença e essa complicação? Deixe os seus comentários abaixo! ***** This is the main cardiological complication of an important infecti...


CASO CLÍNICO #47

Essa doença muitas vezes é confundida como sendo uma micose, pois o nome dela e do seu agente etiológico é muito parecido com fungo. Você sabe qual é essa doença? Deixe os seus comentários abaixo! ***** This disease is often confused as being a fungal di...